PRESENTACIÓN DE CASOS

 

Luxación irreductible de rodilla asociada a interposición de estructuras mediales: reporte de un caso

 

Ricardo Londoño García, Miguel Á. Cano González, Víctor A. Avendaño Arango

Universidad Pontificia Bolivariana, Medellín, Colombia

 

RESUMEN

Se presenta a un paciente con luxación irreductible de rodilla, lesiones de múltiples ligamentos y luxación de rótula tras caer por un abismo. Tiene el signo del hoyuelo. Se intentaron varios métodos de reducción cerrada sin éxito, lo que requirió una reducción abierta para exponer y liberar las estructuras interpuestas, inclusive la cápsula medial, el ligamento rotulofemoral y el vasto medial oblicuo. Se colocó un inmovilizador de rodilla y se esperó hasta que los tejidos blandos mejoraran para realizar una reconstrucción de múltiples ligamentos en un segundo tiempo, abordando los ligamentos cruzados anterior y posterior, y la esquina posteromedial; el resultado fue favorable. Conclusiones: Se recomienda, en primera instancia, la reducción cerrada, pero si las estructuras mediales de la rodilla no se liberan, es necesaria la reducción abierta de emergencia. La reconstrucción ligamentaria se indica cuando hay compromiso de múltiples ligamentos, y la elección del abordaje del ligamento cruzado debe individualizarse considerando la edad, el estado fisiológico y las actividades físicas del paciente. Además, es crucial realizar una evaluación neurológica y vascular exhaustiva ante el riesgo de complicaciones graves. Se comunica este caso para destacar este cuadro inusual y la importancia de una reducción abierta para lograr una reducción adecuada.

Palabras clave: Luxación de rodilla; signo del hoyuelo; vasto medial.

Nivel de Evidencia: IV

 

Irreducible Knee Dislocation Associated with Interposition of Medial Structures: A Case Report

 

ABSTRACT

We report the case of a patient with an irreducible knee dislocation, multiligamentous injuries, and patellar dislocation following a fall into a ravine. The clinical examination revealed a positive dimple sign. Multiple attempts at closed reduction were unsuccessful, requiring an open reduction to expose and release the interposed structures, including the medial capsule, the patellofemoral ligament, and the vastus medialis oblique. A knee immobilizer was applied, and definitive surgery was deferred until soft-tissue conditions improved, at which time a staged multiligament reconstruction was performed, addressing the anterior and posterior cruciate ligaments and the posteromedial corner, with a favorable outcome. Conclusion: Closed reduction should be attempted initially; however, if the medial structures remain entrapped, urgent open reduction is required. Ligament reconstruction is indicated when multiple ligaments are compromised, and the approach to anterior cruciate ligament reconstruction should be individualized based on the patient’s age, physiological status, and physical activity level. A thorough neurological and vascular evaluation is essential due to the risk of serious complications. This case is reported to highlight this uncommon presentation and the importance of open reduction to achieve proper alignment.

Keywords: Knee dislocation; dimple sign; vastus medialis.

Level of Evidence: IV

 

INTRODUCCIÓN

Las luxaciones de rodilla son lesiones que pueden ocurrir por un trauma de alta o baja energía. Se caracterizan por una alta tasa de lesiones neurovasculares y por la pérdida del contacto entre las superficies articulares de la rodilla, esto produce inestabilidad multidireccional y se asocia con lesiones de múltiples ligamentos.1

Se han descrito diferentes clasificaciones para las luxaciones de rodilla. La primera se basa en la dirección del desplazamiento de la tibia sobre el fémur. Se la conoce como clasificación de Kennedy, publicada en 1963, y describe 5 mecanismos del trauma: anterior (40%), posterior (33%), lateral (18%), medial (4%) y rotatorio (4%), este último relacionado con irreductibilidad de la luxación.2,3 Por otro lado, la clasificación de Schenck se describe de KD-I a KD-V, según el número de ligamentos comprometidos y si se acompaña de fractura periarticular.4 Esta última fue modificada por Yu y cols., en 1995, quienes añadieron a la clasificación la designación “C” y “N” cuando hay una lesión arterial o nerviosa asociada, respectivamente.5

La incidencia de lesiones en la arteria poplítea varía entre el 10% y el 40%, y son más frecuentes en las luxaciones anteriores y posteriores.6 En las luxaciones anteriores, la arteria poplítea es susceptible de sufrir daños en la íntima debido a un mecanismo de tracción, mientras que, en las luxaciones posteriores, la arteria puede llegar a ser seccionada desde la tibia, ya que se encuentra anclada, en su parte proximal, en el hiato del aductor y, en su parte distal, en el arco del músculo sóleo.6,7 Además, son comunes las lesiones en el nervio peroneo, tienen una tasa de incidencia del 20% al 45%.8

 

CASO CLÍNICO

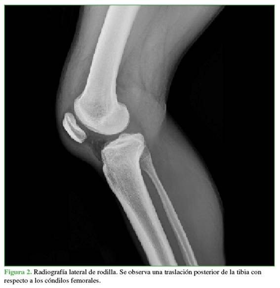
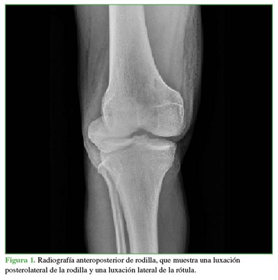
Hombre de 27 años, agricultor y residente en un área rural, sin antecedentes patológicos relevantes. Sufre un accidente de tránsito al caer por un abismo mientras conducía una motocicleta, lo que le provoca un traumatismo en el hombro y la rodilla derechos. Consultó inicialmente en hospital rural, donde le detectaron un gran edema, equimosis y signo del hoyuelo positivo en la rodilla derecha. También, tenía limitación en los arcos de movilidad del hombro y la rodilla. Como no disponían de rayos X, fue derivado a un hospital con servicio de ortopedia. Allí se le tomaron radiografías iniciales (Figuras 1 y 2) y se documentó una fractura diafisaria de húmero que fue inmovilizada con una férula en pinza de azúcar. Además, se diagnosticó una luxación posterolateral de la rodilla y una luxación lateral de la rótula. Dos ortopedistas realizaron tres intentos de reducción bajo sedación (no contaban con anestesia), y lograron reducir la rótula, pero no la rodilla. Se decidió que el paciente requería un centro de trauma para una reducción abierta urgente y descartar una lesión vascular asociada. Se inmovilizó la rodilla con una férula inguinopédica bivalva y fue derivado.

 

 

 

 

 

 

 

En la evaluación inicial en el centro de trauma, habían pasado 8 h desde el accidente, se procedió a retirar la inmovilización para evaluar los tejidos blandos y se observó el signo del hoyuelo en la región medial (Figura 3).

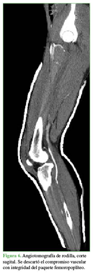
Las radiografías mostraban un aumento del espacio medial debido a la inestabilidad medial. Se ampliaron los estudios con una resonancia magnética (Figuras 4 y 5) para evaluar posibles tejidos o estructuras interpuestos y con una angiotomografía (Figura 6) para descartar una lesión vascular por el tiempo de evolución. Se observó un gran edema en los tejidos mediales, inclusive la cápsula y los tejidos mediales en la zona intercondílea, así como una persistente subluxación de la rodilla. Se descartó un compromiso vascular con integridad del paquete femoropoplíteo.

Se decidió llevar al paciente a cirugía e intentar una reducción cerrada, pero no se logró. Por lo tanto, se procedió con una reducción abierta.

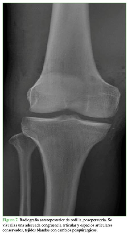
Se efectuó un abordaje medial longitudinal y se liberó el mecanismo extensor para evaluar la superficie articular de la rótula y aumentar la exposición. Se halló el cóndilo medial femoral completamente denudado. Se realizaron cuidadosas disecciones de colgajos para mejorar la visualización a pesar de tener la rótula evertida. Mediante maniobras de valgo, se identificaron y localizaron las estructuras pertinentes. Se intentó retirar el menisco, el retináculo medial y la cápsula interpuesta utilizando fuerza de palanca con diferentes instrumentos, pero no se logró, pese a las maniobras de reducción por la tensión de estas. Por lo tanto, se decidió seccionar la cápsula y el ligamento rotulofemoral para liberar el espacio femorotibial e intercondíleo, logrando así una reducción y una congruencia clínicas de la rodilla. Se procedió al lavado con abundante solución salina y, a continuación, a la rafia capsular y la sutura del ligamento rotulofemoral medial y el retináculo medial de la rodilla. Se evaluó nuevamente la estabilidad y la rodilla no se luxó con flexión profunda ni extensión, no había lesiones condrales en la rótula o en la tróclea, el menisco medial estaba pinzado, pero sin lesiones en el cuerpo o en la raíz, por lo que no requirió manejo adicional. Se colocó una férula articulada de rodilla, se solicitaron radiografías de control posoperatorio (Figura 7) y se programó una reconstrucción ligamentaria diferida a las 3 semanas en la que se reconstruyó el ligamento cruzado anterior con aloinjerto, el ligamento cruzado posterior con técnica de un solo haz con aloinjerto y la esquina posteromedial con técnica de Laprade A las 4 semanas de seguimiento, los arcos de movilidad eran de 10° a 90° de flexión de rodilla. Continúa con terapia física.

 

 

 

 

 

 

 

 

 

 

 

 

 

 

 

 

DISCUSIÓN

La incidencia de luxaciones de rodilla es muy baja, representan menos del 0,02% de todas las urgencias ortopédicas y menos del 0,5% de todas las luxaciones articulares. Sin embargo, estas cifras pueden estar subestimadas debido a un subregistro, ya que, al menos, el 60% de las luxaciones de rodilla se reducen espontáneamente cuando ocurren.9,10 Si bien es una entidad clínica rara, el hecho de que sea irreductible, es decir, la interposición de estructuras capsuloligamentarias entre los cóndilos femorales asociada con una luxación de rodilla, la convierte en un cuadro aún más infrecuente, relacionado con altas tasas de secuelas y complicaciones a largo plazo cuando no se diagnostica ni se trata de manera oportuna y adecuada.11

La mayoría de las luxaciones irreductibles de rodilla son posterolaterales, el desplazamiento de la tibia se produce debido a una fuerza generalmente de alta energía en valgo con la rodilla flexionada, asociada con fuerzas de rotación simultáneas en la tibia y el fémur en direcciones opuestas, lo que empuja el cóndilo femoral medial a través de la cápsula anteromedial y el retináculo. La interposición subsiguiente del retináculo medial, el ligamento colateral medial, el vasto medial o el menisco medial puede dar lugar a un “signo de hoyuelo” (pucker sign o dimple sign), característico en el examen físico y presente hasta en el 83% de los casos de luxaciones irreductibles de rodilla.12,13

Lo interesante de este tipo de luxación de rodilla es la implicación del complejo capsuloligamentario medial y su interposición entre los cóndilos femorales durante el valgo severo, lo que le confiere la característica de irreductibilidad. Es fundamental realizar un diagnóstico clínico temprano y llevar a cabo una reducción abierta con desbridamiento artroscópico o sin él para reducir el riesgo de compromiso de los tejidos blandos en esta condición. Es urgente restablecer la congruencia articular, verificar una adecuada perfusión distal y descartar una lesión vascular, una de las complicaciones de esta lesión.14

Afortunadamente, en este caso, no se produjeron complicaciones cutáneas. Sin embargo, es importante mencionar que el signo del hoyuelo es un indicador clínico importante que sugiere irreductibilidad de la luxación y la necesidad de una reducción abierta oportuna, ya que la reducción cerrada puede generar un mayor daño en la piel, y el retraso en el diagnóstico y tratamiento podría llevar a la necrosis de la piel.12-14

Los artículos sobre este cuadro son limitados, los autores de los casos publicados hasta la fecha proponen diferentes enfoques quirúrgicos, sin llegar a un consenso general, especialmente en lo que respecta a la reparación de los ligamentos cruzados anterior y posterior.15

Después de la reducción, el momento adecuado para la reconstrucción ligamentaria sigue siendo controvertido. Las indicaciones para la fijación externa en el caso de una luxación de rodilla aguda son la incapacidad para mantener la reducción, los antecedentes de lesión vascular y la luxación abierta. Existen muy pocos datos que comparen la fijación externa con un inmovilizador articulado de rodilla antes de la reconstrucción de múltiples ligamentos.9,16,17 En un estudio realizado en la Clínica Mayo, se comparó 8 rodillas colocadas en fijación externa después de la reducción con 23 rodillas con soporte ortopédico después de la reducción, y no se hallaron diferencias estadísticamente significativas en los puntajes Lysholm y los puntajes medios del International Knee Documentation Committee (IKDC) después de 27 meses de seguimiento.18 Curiosamente, los pacientes manejados con un inmovilizador tenían mejores arcos de movilidad en el seguimiento a largo plazo que aquellos con fijación externa; sin embargo, esto podría atribuirse a lesiones más complejas que requieren una fijación externa.

Aunque existen algunos casos descritos con desbridamiento o reducción artroscópica, la reducción abierta es el tratamiento de elección.19 En el caso presentado, se encontraron interpuestos el retináculo medial, las estructuras de la cápsula medial y el ligamento rotulofemoral medial, que también se visualizaron claramente, así como una porción importante del músculo vasto medial oblicuo distal. Hay varias estructuras que pueden quedar atrapadas en el espacio articular y evitar la reducción de la rodilla, entre ellas, el retináculo medial y las estructuras adyacentes son las más frecuentes. Otras causas de luxación irreductible de rodilla pueden ser una luxación intrarticular de la rótula o una luxación lateral de la rodilla con atrapamiento de la cápsula posterolateral en el compartimento lateral.

En los casos de luxación con compromiso de múltiples ligamentos, se debe reparar o reconstruir los ligamentos de manera temprana. En la bibliografía, se recomienda realizar una segunda cirugía en las primeras 3 o 4 semanas, seguida de 2 semanas de inmovilización preferiblemente con un inmovilizador articulado para controlar los rangos de movilidad articular.20,21

Las complicaciones son frecuentes y, rara vez, la rodilla vuelve a su estado anterior a la lesión. Los pacientes suelen tener rigidez, pérdida de amplitud de movimiento y un mayor riesgo de desarrollar artrosis temprana.16,21,22 De acuerdo con una revisión sistemática publicada en 2022, por Malik y cols., a partir de 114 casos de luxación irreductible de rodilla, la tasa de complicaciones fue del 14,4%, y la necrosis de la piel y la rigidez articular fueron las más frecuentes (6,7% y 4,8%, respectivamente). Otras complicaciones menos comunes fueron el síndrome compartimental y la infección del sitio operatorio (1 caso de cada una).1,22

No se hallaron datos sobre la incidencia de lesiones de múltiples ligamentos con luxación irreductible de rodilla, probablemente debido a su presentación inusual.

 

CONCLUSIONES

El signo del hoyuelo medial es patognomónico de una luxación irreductible de rodilla y debe reconocerse de inmediato. Se puede intentar una reducción cerrada solo una vez para evitar dañar aún más la piel, y si las estructuras mediales de la rodilla permanecen atrapadas, se debe proceder a la reducción abierta de emergencia, teniendo en cuenta la alta asociación con lesiones vasculares. Se recomienda la reconstrucción ligamentaria cuando hay compromiso de múltiples ligamentos y la elección de la reconstrucción del ligamento cruzado debe individualizarse según el paciente, considerando la edad, el estado fisiológico y las actividades físicas exigentes. Además, siempre es importante realizar una evaluación neurológica y vascular exhaustiva de la extremidad afectada debido al riesgo de complicaciones graves asociadas.

 

BIBLIOGRAFÍA

 

1.     Malik SS, Osan JK, Aujla R, Aslam N, D’Alessandro P, MacDonald PB. A systematic review on management and outcome of irreducible knee dislocations. Orthop Traumatol Surg Res 2022;108(8):103415. https://doi.org/10.1016/j.otsr.2022.103415

2.     Robertson A, Nutton RW, Keating JF. Dislocation of the knee. J Bone Joint Surg Br 2006;88(6):706-11. https://doi.org/10.1302/0301-620X.88B6.17448

3.     Brautigan B, Johnson DL. The epidemiology of knee dislocations. Clin Sports Med 2000;19(3):387-97. https://doi.org/10.1016/s0278-5919(05)70213-1

4.     Green NE, Allen BL. Vascular injuries associated with dislocation of the knee. J Bone Joint Surg Am 1977;59(2): 236-9. PMID: 845209

5.     Yu JS, Goodwin D, Salonen D, Pathria MN, Resnick D, Dardani M, et al. Complete dislocation of the knee: spectrum of associated soft-tissue injuries depicted by MR imaging. AJR Am J Roentgenol 1995;164(1):135-9. https://doi.org/10.2214/ajr.164.1.7998526

6.     Halvorson JJ, Anz A, Langfitt M, Deonanan JK, Scott A, Teasdall RD, et al. Vascular injury associated with extremity trauma: initial diagnosis and management. J Am Acad Orthop Surg 2011;19(8):495-504. https://doi.org/10.5435/00124635-201108000-00005

7.     Xu B, Xu H, Tu J, Guo R. Initial assessment and implications for surgery: The missed diagnosis of irreducible knee dislocation. J Knee Surg 2018;31(3):254-63. https://doi.org/10.1055/s-0037-1602135

8.     Bistolfi A, Massazza G, Rosso F, Ventura S, Cenna E, Drocco L, et al. Non-reducible knee dislocation with interposition of the vastus medialis muscle. J Orthop Traumatol 2011;12(2):115-8. https://doi.org/10.1007/s10195-011-0134-2

9.     Gigante F, Lapera M, Zabala MP, Pesolani M, Serpone A. Conducta inicial en la luxación aguda de rodilla. Nuestra experiencia de 20 años. Artroscopía 2016;23(2);61-9. Disponible en: https://revistarelart.com/ediciones-anteriores/103-volumen-05-numero-1/volumen-23-numero-2/740-conducta-inicial-en-la-luxacion-aguda-de-rodilla-nuestra-experiencia-de-20-anos

10.  Chirpaz-Cerbat JM, Rossi J, Mélère G, Martinez T. Luxation irréductible du genou par incarcération du plan capsulo-ligamentaire médial. Rev Chir Orthop Réparatrice Appar Mot 2004;90(5):449-55. https://doi.org/10.1016/s0035-1040(04)70172-5

11.  Gómez-Bermúdez S, Vanegas-Isaza D, Herrera-Almanza L, Roldán-Tabares M, Coronado-Magalhaes G, Fernández-Lopera J, et al. La lesión vascular asociada a la luxación de rodilla. Acta Ortop Mex 2021;35(2):226-35. Disponible en: https://www.medigraphic.com/pdfs/ortope/or-2021/or212t.pdf

12.  Angan N, Feghiu B, Gheorghiu N, Feghiu V, Bahadoor MU. Irreducible knee dislocation with vastus medialis muscle interposition: A case report. Cureus 2023; 15(1):e33409. https://doi.org/10.7759/cureus.33409

13.  Jeevannavar SS, Shettar CM. “Pucker sign” an indicator of irreducible knee dislocation. BMJ Case Rep 2013;2013:bcr2013201279. https://doi.org/10.1136/bcr-2013-201279

14.  Novoa Sierra B, Estrems Díaz V, Ribas García-Peñuela J, Brú Pomer A. Luxaciones de rodilla: revisión de 11 casos. Revista Española de Cirugía Osteoarticular 2015;50(262):123-7. Disponible en: http://hdl.handle.net/10550/47816

15.  Levy BA, Fanelli GC, Whelan DB, Stannard JP, MacDonald PA, Boyd JL, et al. Controversies in the treatment of knee dislocations and multiligament reconstruction. J Am Acad Orthop Surg 2009;17(4):197-206. https://doi.org/10.5435/00124635-200904000-00001

16.  Reckling FW, Peltier LF. Acute knee dislocations and their complications. Clin Orthop Relat Res 2004;(422):135-41. https://doi.org/10.1097/01.blo.0000131737.72363.7e

17.  Schmicker T, Kocher T, Patel T, Lycans D. Closed reduction of an irreducible knee dislocation: A case report. J Orthop Case Rep 2020;10(7):6-10. https://doi.org/10.13107/jocr.2020.v10.i07.1894

18.  Malik SS, MacDonald PB. The irreducible knee dislocation. J Knee Surg 2020;33(4):328-34. https://doi.org/10.1055/s-0039-1698749

19.  Peskun CJ, Whelan DB. Outcomes of operative and nonoperative treatment of multiligament knee injuries: an evidence-based review. Sports Med Arthrosc Rev 2011;19(2):167-73. https://doi.org/10.1097/JSA.0b013e3182107d5f

20.  Clark SJ, Engebretsen L. Surgical treatment of acute knee dislocations. Tech Knee Surg 2011;10(1):28-36. Disponible en: https://static1.squarespace.com/static/5ed520fd462f3329f89fd0fc/t/5ef21490dbdf86701 2b56769/1592923281696/ClarkandEngebretsen.pdf

21.  Pache S, Vázquez JM, Chahla J, Moatshe G, LaPrade RF. Irreducible posterolateral knee dislocation: A case report. JBJS Case Connect 2023;13(1). https://doi.org/10.2106/JBJS.CC.22.00792

22.  Plancher KD, Siliski J. Long-term functional results and complications in patients with knee dislocations. J Knee Surg 2008;21(04):261-8. https://doi.org/10.1055/s-0030-1247829

 

 

ORCID de M. Á. Cano González: https://orcid.org/0009-0002-9832-2085

ORCID de V. A. Avendaño Arango: https://orcid.org/0000-0002-2976-3269

 

Recibido el 21-6-2023. Aceptado luego de la evaluación el 14-5-2024 Dr. Ricardo Londoño García riloga42@gmail.com https://orcid.org/0000-0002-6568-9166

 

Cómo citar este artículo: Londoño García R, Cano González MÁ, Avendaño Arango VA. Luxación irreductible de rodilla asociada a interposición de estructuras mediales: reporte de un caso. Rev Asoc Argent Ortop Traumatol 2025;90(6):561-569. https://doi.org/10.15417/issn.1852-7434.2025.90.6.1780

 

 

Información del artículo

Identificación: https://doi.org/10.15417/issn.1852-7434.2025.90.6.1780

Fecha de publicación: Diciembre, 2025

Conflicto de intereses: Los autores no declaran conflictos de intereses.

Copyright: © 2025, Revista de la Asociación Argentina de Ortopedia y Traumatología.

Licencia: Este artículo está bajo una Licencia Creative Commons Atribución-No Comercial-Compartir Obras Derivadas Igual 4.0 Internacional. (CC-BY-NC-SA 4.0)