PRESENTACIÓN DE CASOS

 

Reconstrucción osteoplástica del pulgar. Técnica y resultado luego de más de 6 años de seguimiento

 

Nadia Gabotto Loredo, Gonzalo M. Viollaz, Diego J. Gómez, Gustavo J. Teruya, Álvaro J. Muratore, Alejandro Tedeschi, Rafael Durán

Unidad de Cirugía del Miembro Superior, Hospital Británico, Ciudad Autónoma de Buenos Aires, Argentina

 

RESUMEN

El pulgar representa el 40% de la función de la mano, y su pérdida requiere un reimplante o reconstrucción. Aunque el reimplante es el tratamiento ideal, existen alternativas ante el fracaso. La reconstrucción osteoplástica es una opción menos invasiva. Se presenta un caso de reconstrucción osteoplástica del pulgar tras un reimplante fallido en un hombre de 58 años con amputación metacarpofalángica. Se detallan la técnica quirúrgica, los resultados clínicos y radiológicos tras 6 años de seguimiento. Conclusiones: La reconstrucción osteoplástica con injerto de cresta ilíaca y colgajo inguinoabdominal es una opción segura y eficaz para la reconstrucción del pulgar tras amputaciones metacarpofalángicas fallidas, ofrece buenos resultados funcionales y es replicable en entornos sin acceso a tratamientos más complejos.

Palabras clave: Reconstrucción de pulgar; amputación traumática; colgajo inguinoabdominal; injerto de cresta ilíaca.

Nivel de Evidencia: IV

 

Osteoplastic Reconstruction of the Thumb. Technique and Results With More Than 6 Years of Follow-Up

 

ABSTRACT

The thumb accounts for 40% of hand function, and its loss requires reimplantation or reconstruction. Although reimplantation is the ideal treatment, alternative options are necessary when it fails. Osteoplastic reconstruction constitutes a less complex and less invasive option. We present the case of a 58-year-old man who underwent osteoplastic thumb reconstruction following a failed reimplantation after a metacarpophalangeal (MCP) amputation. The surgical technique, clinical outcomes, and radiological findings after more than 6 years of follow-up are described. Conclusions: Osteoplastic reconstruction using an iliac crest graft and an inguinoabdominal flap is a safe and effective option for thumb reconstruction after failed MCP-level amputations. It provides good functional outcomes and is reproducible in settings without access to more complex reconstructive techniques.

Keywords: Thumb reconstruction; traumatic amputation; inguinoabdominal flap; iliac crest graft.

Level of Evidence: IV

 

INTRODUCCIÓN

El pulgar contribuye al 40% de la función de la mano, por lo que su pérdida total a nivel metacarpofalángico o grupo 4 de Lister,1 obliga a su restitución/reconstrucción.

Los requisitos de un pulgar funcional son: estabilidad, longitud suficiente, movilidad, sensibilidad y ausencia de dolor.1-3

Aunque el reimplante es la mejor opción, ante la imposibilidad o el fracaso, existen alternativas de reconstrucción. Actualmente el procedimiento de referencia es la transferencia libre vascularizada de un dedo del pie a la mano. Sin embargo, se trata de un procedimiento técnicamente muy demandante, y requiere la amputación de una porción o todo un dedo sano del pie, lo que puede no ser aceptado por el paciente.2-4

Existen otras opciones de reconstrucción que incluyen la profundización de la primera comisura (falangización), la transposición (pulgarización) de otro dedo de la mano y la reconstrucción osteoplástica.1,2

El objetivo de este artículo es comunicar nuestra experiencia con la reconstrucción osteoplástica como alternativa ante la pérdida del pulgar a nivel metacarpofalángico (grupo 4) en pacientes que se negaron a la transferencia de un dedo del pie a la mano. Se detallan la técnica empleada, y los resultados clínicos y funcionales tras más de 6 años de seguimiento.

 

CASO CLÍNICO

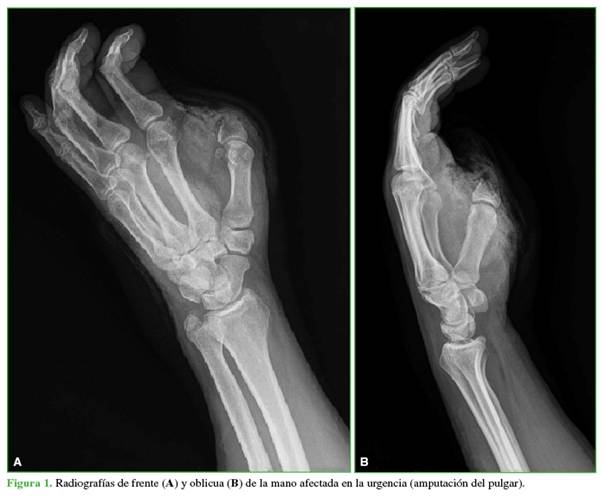
Hombre de 58 años, farmacéutico, que tenía una amputación traumática del pulgar a nivel metacarpofalángico, con un intento fallido de reimplante, en su mano dominante. Ante su negativa a la reconstrucción mediante la transferencia de un dedo del pie a la mano, se planteó la reconstrucción osteoplástica (Figura 1).

 

 

 

 

 

 

Detalles técnicos

Primer tiempo

1)   Marcado del área donante para el colgajo inguinoabdominal: se identificó el pedículo vascular y se planificó el colgajo según la superficie por cubrir del neopulgar.

2)   Tallado del colgajo de cresta ilíaca: se tomó un injerto estructural de cresta ilíaca y se modeló con las dimensiones del pulgar contralateral.

3)                  Fijación de la cresta ilíaca: se estabilizó el injerto con el remanente de base de falange proximal con cerclaje de alambre en los planos coronal y sagital de la articulación metacarpofalángica, suplementado con alambres de Kirschner temporales. Si hay remanentes tendinosos, se podría realizar una tenoplastia, que no fue necesaria en nuestro paciente (Figura 2).

 

 

 

 

4)  Cobertura del injerto con el colgajo tubulizado: se cubrió el injerto óseo del neopulgar con el colgajo tubulizado inguinal con adelgazamiento al máximo del plano adiposo.

 

Segundo tiempo

1)  Separación del colgajo: a las 3 semanas del primer tiempo, se separó el colgajo inguinal, y se obtuvo un neopulgar reconstruido.

Reintervenciones: se requieren remodelaciones para disminuir el volumen del colgajo con exceso de grasa abdominal. En este caso, se realizaron 2 reintervenciones posteriores.

Luego del seguimiento clínico y radiológico de 6 años, el paciente no tiene dolor ni limitaciones subjetivas para sus actividades laborales o deportivas (escala DASH [Disabilities of the Arm, Shoulder and Hand] 19/100, cuestionario PRWE [Patient-Rated Wrist Evaluation] 43/100). Utiliza una pinza punta a punta modificada fuerte, con cierre completo de los cuatro últimos dedos. La fuerza de agarre es del 75% comparada con la de la mano contralateral, medida con un dinamómetro marca Jamar. Presenta anestesia en la zona del colgajo, no hay lesiones por contacto (Figura 3).

 

 

 

 

 

En las radiografías, se observa la remodelación ósea parcial por reabsorción con pérdida del 10% de la longitud del injerto, sin implicancias clínicas, ni lesiones por fragilidad (Figura 4).

Cabe destacar que la pinza modificada es funcional con todos los dedos, permite una oposición y estabilidad adecuadas del neopulgar durante las tareas de precisión. Esta capacidad de prensión se puede comprobar en la Figura 5, donde se observa la correcta integración funcional del pulgar reconstruido en las maniobras de pinza fina y de fuerza.

 

 

 

 

 

 

 

 

DISCUSIÓN

La reconstrucción del pulgar tras una amputación traumática en la articulación metacarpofalángica es esencial debido a la función crucial que desempeña este dedo. El caso presentado exigía tomar una decisión crítica respecto a la técnica reconstructiva más adecuada. Aunque la transferencia libre vascularizada de un dedo del pie a la mano se considera el procedimiento de referencia en la reconstrucción del pulgar, el paciente rechazó este procedimiento, principalmente por la preocupación de perder un dedo sano del pie. Esto llevó a elegir la reconstrucción osteoplástica como alternativa.

La reconstrucción osteoplástica, como se describe en nuestro paciente, está documentada como una técnica viable y menos demandante que la transferencia de un dedo del pie. Graham y cols. destacan que la reconstrucción osteoplástica sigue siendo una opción preferida en escenarios donde los recursos son limitados o cuando el paciente opta por evitar procedimientos microquirúrgicos más invasivos​.1,2 En este caso, la decisión de elegir esta técnica fue coherente con estas indicaciones, pues le ofrece al paciente una solución funcional sin la necesidad de sacrificar un dedo del pie.

En el seguimiento a largo plazo de 6 años, los resultados son favorables, el paciente mantiene una funcionalidad significativa, sin dolor y una buena adaptación a las actividades laborales y deportivas. Estos hallazgos coinciden con los publicados que indican que, aunque la reconstrucción osteoplástica puede resultar en una pérdida parcial de longitud del injerto debido a la remodelación ósea, esto generalmente no compromete la funcionalidad a largo plazo​.4 En nuestro caso, la pérdida del 10% de la longitud del injerto no tuvo repercusiones clínicas significativas, esto reafirma la solidez de esta técnica para proporcionar estabilidad y funcionalidad a largo plazo.

En la bibliografía, también se mencionan posibles complicaciones, como congestión venosa, retraso en la cicatrización y reabsorción ósea, que podrían afectar los resultados. Sin embargo, en este caso, no se produjeron complicaciones importantes, lo que sugiere que una planificación quirúrgica meticulosa y la adecuada selección del paciente son factores clave para el éxito del procedimiento.

La anestesia en la zona del colgajo y la necesidad de remodelaciones posteriores para reducir el volumen del colgajo se manejaron de manera adecuada, lo cual coincide con los desafíos publicados sobre el manejo del exceso de tejido en reconstrucciones con colgajos inguinoabdominales.4

En cuanto a la funcionalidad, el paciente logró una fuerza de agarre del 75% comparada con la de la mano contralateral y utilizó una pinza punta a punta modificada. Estos resultados son comparables con los reportados en otros estudios de reconstrucción osteoplástica. Los puntajes obtenidos en las escalas DASH (19/100) y PRWE (43/100) reflejan una afectación moderada en las actividades diarias, pero con una adaptación funcional significativa, similar a lo observado en otras series de casos publicadas.4

 

CONCLUSIONES

La reconstrucción osteoplástica con injerto de cresta ilíaca y colgajo inguinoabdominal representa una opción segura y eficaz para la reconstrucción del pulgar luego de amputaciones metacarpofalángicas fallidas. La técnica ofrece resultados clínicos funcionales entre buenos y excelentes, y puede replicarse en medios sin capacidad de llevar a cabo tratamientos de mayor complejidad.

 

BIBLIOGRAFÍA

 

1.     Graham D, Bhardwaj P, Sabapathy SR. Secondary thumb reconstruction in a mutilated hand. Hand Clin 2016;32(4):533-47. https://doi.org/10.1016/j.hcl.2016.07.005

2.     Salah MM, Khalid KN. Thumb reconstruction by grafting skeletonized amputated phalanges and soft tissue cover – A new technique: A case series. Cases J 2008;1(1):22. https://doi.org/10.1186/1757-1626-1-22

3.     Moazin OM, Bhat TA, Suraya F, Alelyani RH, Assad M, Alazzmi HA, et al. Spiral wrap-around technique in the reverse radial artery fasciocutaneous forearm flap for thumb reconstruction: A report of an innovative technique. Cureus 2023;15(12):e50999. https://doi.org/10.7759/cureus.50999

4.     Cheema TA, Miller S. One-stage osteoplastic reconstruction of the thumb. Tech Hand Up Extrem Surg 2009;13(3):130-3. https://doi.org/10.1097/BTH.0b013e3181a819ed

 

 

ORCID de G. M. Viollaz: https://orcid.org/0000-0002-4573-883X     

ORCID de Á. Muratore: https://orcid.org/0000-0001-7540-7137

ORCID de D. Gómez: https://orcid.org/0000-0003-0258-6802            

ORCID de A. Tedeschi: https://orcid.org/0000-0001-5704-3122

ORCID de G. Teruya: https://orcid.org/0000-0001-7342-1859

ORCID de R. Durán: https://orcid.org/0000-0002-8789-3221

 

Recibido el 15-9-2024. Aceptado luego de la evaluación el 17-5-2025 Dra. Nadia Gabotto gabottonadia@gmail.com               ID  https://orcid.org/0009-0001-8122-0237

 

Cómo citar este artículo: Gabotto Loredo N, Viollaz GM, Gómez DJ, Teruya GJ, Muratore ÁJ, Tedeschi A, Durán R. Reconstrucción osteoplástica del pulgar. Técnica y resultado luego de más de 6 años de seguimiento. Rev Asoc Argent Ortop Traumatol 2025;90(6):570-577. https://doi.org/10.15417/issn.1852-7434.2025.90.6.2030

 

 

Información del artículo

Identificación: https://doi.org/10.15417/issn.1852-7434.2025.90.6.2030

Fecha de publicación: Diciembre, 2025

Conflicto de intereses: Los autores no declaran conflictos de intereses.

Copyright: © 2025, Revista de la Asociación Argentina de Ortopedia y Traumatología.

Licencia: Este artículo está bajo una Licencia Creative Commons Atribución-No Comercial-Compartir Obras Derivadas Igual 4.0 Internacional. (CC-BY-NC-SA 4.0)