UPDATE

 

Protocol for the Care of Non-Accidental Trauma in the Child and Adolescent Population: Radiological and Traumatological Aspects

 

Bibiana Dello Russo,* Mónica Galeano,** Florencia D´Adamo#

*Orthopedics and Traumatology Service

**Diagnostic Imaging Service

#Non-Accidental Trauma Care Team

Hospital Nacional de Pediatría “Prof. Dr. Juan P. Garrahan”, Autonomous City of Buenos Aires, Argentina

 

ABSTRACT

Child and adolescent abuse is a violation of human rights and a major global public health problem affecting hundreds of millions of children and adolescents, with serious short- and long-term health consequences. One quarter of adults (22.6%) worldwide were victims of physical abuse during childhood; among them, 36.3% experienced emotional abuse and 16.3% experienced physical neglect, with no significant differences between boys and girls. However, the lifetime prevalence of childhood sexual abuse shows more marked differences, with rates of approximately 20% in girls and 8% in boys. This article describes the protocol used in our hospital for the diagnosis and management of bone injuries and compares it with the most recent systematic reviews published on the subject.

Keywords: Children; non-accidental trauma; radiological protocol.

Level of Evidence: IV

 

Protocolo para la atención del trauma no accidental en la población infantojuvenil: aspectos radiológico y traumatológico

 

RESUMEN

El maltrato de niños y adolescentes es una violación de los derechos humanos, además de un importante problema de salud pública mundial que afecta a cientos de millones de niños y adolescentes, y tiene graves consecuencias para la salud a corto y largo plazo. Una cuarta parte de los adultos (22,6%) del mundo sufrió abuso físico cuando eran niños; el 36,3% de ellos sufrió abuso emocional y el 16,3%, negligencia física, sin diferencias significativas entre niños y niñas, aunque la prevalencia de abuso sexual infantil a lo largo de la vida indica diferencias más marcadas (niñas alrededor del 20% y niños alrededor del 8%). Se describe el protocolo utilizado en nuestro hospital para el proceso de diagnóstico y tratamiento de las lesiones óseas, y se lo compara con las últimas revisiones sistemáticas publicadas.

Palabras clave: Niños; trauma no accidental; protocolo radiológico.

Nivel de Evidencia: IV

 

INTRODUCTION

We define non-accidental trauma (NAT) as trauma sustained by a child or adolescent who has been subjected to aggression by parents or guardians, by institutions, or by society, as well as all conditions resulting from such acts that deprive them of their rights and fundamental needs and hinder their optimal development.1

There are four basic types of abuse:

-    Sexual abuse

-    Emotional abuse

-    Physical abuse

-    Neglect or maltreatment

Within these classifications, epidemiological data show that the clinical presentations prompting medical consultation are often accompanied by inconsistencies in the reported origin of the injuries and variability in how events are described. The rates of abuse by etiology are: neglect (59%), multiple types (13%), physical abuse (11%), sexual abuse (8%), emotional abuse (4%), and medical neglect (<1%).2

Although children of all ages and socioeconomic levels can suffer NAT, it occurs more frequently in the context of young first-time parents with unplanned pregnancies, in environments where substance abuse is present, in low-income families, or among parents with a history of being abused themselves.3,4

Imaging often plays an important role in detecting and documenting physical injuries. The type and extent of imaging performed in a child when abuse is suspected depend on the child’s age, signs, symptoms (Figure 1), and other social considerations, such as being the twin or sibling of a physically abused infant. Establishing a diagnosis of child maltreatment requires distinguishing between anatomic and developmental variants and possible underlying metabolic or genetic conditions.5

 

 

 

 

 

Between January 2023 and June 2024, 766 pediatric and adolescent patients with suspected NAT were evaluated in the hospital’s Medium-Risk Service.

In 15.1% of cases (81 patients), physical abuse was suspected. Twenty-five of these patients required hospitalization (30%). Indicators for hospital admission included:

Need for urgent treatment requiring inpatient care.

Need for immediate protection of the minor while awaiting a temporary home or shelter.

Need to observe family dynamics during the assessment and diagnostic phase in severe situations.

Child evaluated in the hospital emergency department before completion of the assessment and treatment phase, in cases of severe maltreatment.

Given the high frequency of this situation, the following protocol was developed.

 

RADIOLOGICAL PROTOCOL FOR CHILDREN WITH SUSPECTED NAT (PEDIATRIC RADIOLOGY SERVICE)

When there is clinical suspicion, the Radiological Protocol for Children detailed in Table 1 is applied.

 

 

 

 

 

1.   In children <2 years of age, always request a skeletal survey as the preferred study. A “total body” or “baby-gram” is never indicated. If the chest radiograph raises doubts about rib injuries, consider a chest computed tomography (CT) scan.

When suspicion of NAT is high and the skeletal survey is normal, a repeat study should be performed 11–14 days later.

2.  In children <1 year of age, always perform an urgent head CT scan.

3.  In children >1 year with evidence of head trauma or neurological symptoms, perform an urgent head CT scan.

4.  Consult with the Pediatric Radiology Service regarding the need for brain magnetic resonance imaging (MRI). Complete spine MRI and whole-body MRI should be performed 2–5 days after admission, regardless of whether the CT scan is normal. These must be interpreted by two pediatric radiologists. Follow-up brain MRI will be performed according to the initial findings and the patient’s clinical evolution.

5.  A skeletal survey may be indicated in children >2 years, in which case it will be performed preferentially and according to the patient’s clinical presentation.

6.  In a severe case with suspected NAT:

a)  In twins or children <2 years, consider applying the same protocol used for the index case.

b)  In siblings >2 years, imaging studies should be performed according to each child’s clinical presentation.

7.   In cases of thoracic or abdominal trauma, imaging studies will be decided jointly by the treating physician and the radiologist on call.

8.   Deceased child: complete skeletal survey, and whole-body MRI and CT. The required radiographs are sent to the Radiology Department labeled as NAT so that all technicians know to perform, in a single session, all radiographs required by the protocol to detect possible injuries, without drawing the attention of accompanying family members.

 

DISCUSSION

Fractures are the second most common sign of physical abuse (25–50%), followed by burns (20%). It is estimated that 10% of trauma cases in children <3 years of age treated in emergency departments are non-accidental, but underreporting occurs due to minimization of the situation or failure to properly investigate the causes. In many instances, these patients are evaluated by a traumatologist as the first-line clinician, without support from a multidisciplinary team.6-9

Although many publications refer to specific fracture patterns for this condition, its presentation is similar to accidental trauma. However, clinicians must remain alert to the coexistence of these injuries with soft-tissue findings such as burns or bruising; moreover, the presence of this condition accompanied by retinal injuries is pathognomonic.10

The different stages of fracture evolution are what trigger red flags.11

In 2020, the Royal College of Paediatrics and Child Health6 published a systematic review of fractures resulting from non-accidental trauma, summarized as follows:

1.     Abuse-related fractures are more common in children <18 months than in those >18 months.

2.     Abused children are more likely to present with multiple fractures than non-abused children.

3.     Rib fractures without significant trauma, birth injury, or underlying bone disease have a high predictive value for abuse.

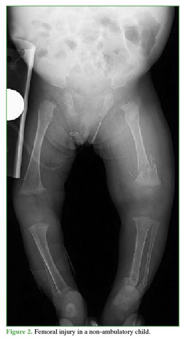
4.     Femoral fractures due to abuse are more likely in children who are not yet walking (Figure 2).

5.     Mid-shaft fractures are the most common type of femoral fracture in both abuse and non-abuse situations.

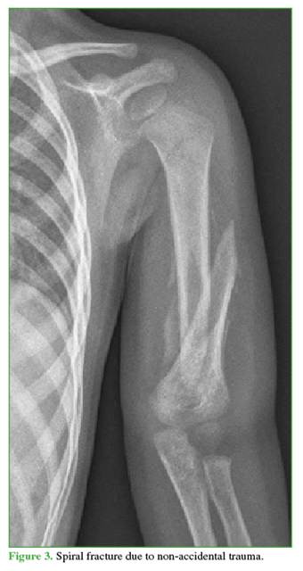
6.     Supracondylar humeral fractures in children are typically associated with accidental injuries, whereas the most common humeral fractures due to abuse in children <5 years of age are spiral or oblique fractures (Figure 3).

7.     Humeral fractures in children <18 months are more strongly associated with abuse than humeral fractures in older children.

8.     Linear fractures are the most common skull fractures in both abuse and non-abuse cases.

9.     Metaphyseal fractures are more common in cases of physical child abuse than in non-abuse, and have often been described in fatal abuse scenarios.

10.  Most children with classic metaphyseal lesions have additional associated injuries, which are often multiple.

11.  Fractures of the pelvis, hands, feet, and sternum can occur in physical abuse and require appropriate imaging for detection.

The accuracy of radiological estimates of the time elapsed since the injury is expressed in weeks rather than days. The different healing stages visualized on the skeletal survey are used to date the fracture as follows:

1.  Resolution of soft-tissue injury: 1 week

2.  Formation of new subperiosteal bone: 2 weeks

3.  Loss of the fracture line and formation of soft callus: 3 weeks

4.  Hard callus: 3–6 weeks

5.  Remodeling: more than 3 months

Radiological evaluation in suspected physical abuse includes initial and follow-up imaging studies, performed during weekly monitoring of family members, specifically to maximize the detection of occult injuries.

 

 

 

 

 

 

 

Specificity is defined according to the relationship between the fracture pattern and the mechanism of trauma (Table 2).

Bone scintigraphy is a useful study for detecting rib and vertebral fractures. Repeating it 2 weeks later may help identify occult injuries, but it is reserved only for highly suspicious cases with negative radiographs at the initial consultation.12

 

 

 

 

 

 

CONCLUSION

Within our fracture series, lower-limb fractures (70%) were the most frequent, and among these, long-bone fractures (femur 60%), findings consistent with those of other published series.13,14

 

REFERENCES

 

1.     Sánchez NI, Cuenca L. Estudio sobre maltrato infantil en niños y adolescentes de la Provincia de Buenos Aires. Revista Argentina de Ciencias del Comportamiento 2011;3(3):8-15. https://doi.org/10.32348/1852.4206.v3.n3.5200

2.     Pinto Cortez C. Perspectiva histórica en el estudio del maltrato infantil. Poiésis 2019;(17). https://doi.org/10.21501/16920945.166

3.     UNICEF y Ministerio de Justicia y Derechos Humanos, Argentina. Serie Violencia contra Niñas, Niños y Adolescentes. Fascículo N.° 9. Un análisis de los datos del Programa “Las Víctimas Contra las Violencias” 2020-2021. Available at: https://www.unicef.org/argentina/informes/serie-violencia-contra-ninas-ninos-y-adolescentes

4.     Organización Mundial de la Salud. Maltrato infantil. 2022. Available at: https://www.who.int/es/news-room/fact-sheets/detail/child-maltreatment

5.     Romano O, Fernández C. Lo esencial en Ortopedia y Traumatología. La Plata: Universidad Nacional de La Plata; EDULP, 2023. Libro digital, PDF - (Libros de cátedra) Archivo Digital: descarga ISBN 978-950-34-2270-0

6.     Pérez Candás JI, Ordóñez Alonso MA, Amador Tejón V. Maltrato emocional. Form Act Pediatr Aten Prim 2018;11(4):215-24. Available at: https://fapap.es/files/639-1711-RUTA/06_Maltrato_emocional.pdf

7.     Helfer RE, Slovis TI, Black M. Injuries resulting when small children fall out of bed. Pediatrics 1977;60(4):533-5. https://doi.org/https://doi.org/10.1542/peds.60.4.533

8.     Lirola Cruz MJ, López Barrio AM, Malo JM, Gómez de Terreros I. Análisis de los hallazgos radiológicos en un caso relevante de maltrato infantil. Bienestar y Protección Infantil 1996;2:60-6.

9.     Worlock P, Stower M, Barbor P. Estudio comparativo de las fracturas accidentales y no accidentales en los niños. Br Med J (ed esp) 1987;II:26-30.

10.  Di Pietro MA, Brody AS, Cassady CI, Kleinman PK, Wyly JB, Applegate KE, et al. Diagnostic imaging of child abuse. Pediatrics 2009;123(5):1430-5. https://doi.org/10.1542/peds.2009-0558

11.  Gómez de Terreros I, Serrano Urbano I, Martínez Martín MC. Diagnóstico por imagen del maltrato infantil. Cuad Med Forense 2006;(43-44):21-37. Available at: http://scielo.isciii.es/scielo.php?script=sci_arttext&pid=S1135-76062006000100002&lng=es

12.  Curcoy Barcenilla AI, Trenchs Sainz de la Maza V, Pou Fernández J. Utilidad de la gammagrafía ósea en el diagnóstico diferencial del maltrato infantil. An Pediatr (Barc) 2006;65(1):83-90. Available at: https://www.analesdepediatria.org/es-utilidad-gammagrafia-osea-el-diagnostico-articulo-13090902

13.  The Royal College of Radiologists. Standards for the interpretation and reporting of imaging investigations, 2nd ed. London: The Royal College of Radiologists; 2018.

14.  Kocher MS, Kasser JR. Orthopaedic aspects of child abuse. J Am Acad Orthop Surg 2000;8(1):10-20. https://doi.org/10.5435/00124635-200001000-00002

 

 

M. Galeano ORCID ID: https://orcid.org/0000-0002-3904-3783

F. D´Adamo ORCID ID: https://orcid.org/0009-0006-9700-0999

 

 

Received on September 26th, 2024. Accepted after evaluation on September 4th, 2025 Dr. Bibiana Dello Russo  bibianadellorusso@gmail.com https://orcid.org/0000-0001-6487-4418

 

How to cite this article: Dello Russo B, Galeano M, D´Adamo F. Protocol for the Care of Non-Accidental Trauma in the Child and Adolescent Population: Radiological and Traumatological Aspects. Rev Asoc Argent Ortop Traumatol 2025;90(6):597-603. https://doi.org/10.15417/issn.1852-7434.2025.90.6.2039

 

 

Article Info

Identification: https://doi.org/10.15417/issn.1852-7434.2025.90.6.2039

Published: December, 2025

Conflict of interests: The authors declare no conflicts of interest.

Copyright: © 2025, Revista de la Asociación Argentina de Ortopedia y Traumatología.

License: This article is under Attribution-NonCommertial-ShareAlike 4.0 International Creative Commons License (CC-BY-NC-SA 4.0).