UPDATE

 

Selective Arterial Embolization

 

Hernán G. Bertoni,* Victoria Bertoni,** Carlos M. Autorino,# Federico Manfrin##

*Interventional Oncology Department, Instituto Alexander Fleming, Autonomous City of Buenos Aires, Argentina

**Diagnostic Imaging, Hospital Italiano de Buenos Aires, Autonomous City of Buenos Aires, Argentina

#Orthopedics and Traumatology Service, Hospital Universitario Austral, Buenos Aires, Argentina

##Hip and Knee Reconstructive Surgery Unit, Sanatorio Anchorena-Itoiz, Avellaneda, Buenos Aires, Argentina

 

ABSTRACT

Knee osteoarthritis is the most prevalent degenerative arthropathy and one of the leading causes of chronic pain and disability. Its pathophysiology involves chondral wear, synovial inflammation, pathological angiogenesis, and sensory neoinnervation. Treatment options range from conservative measures to arthroplasty; a subset of patients who are not yet surgical candidates would benefit from minimally invasive alternatives. Genicular artery embolization has emerged as a promising option by reducing neovascularization and, consequently, pain. Clinical improvements greater than 70% and a favorable safety profile have been reported. Its indications have also been extended to persistent pain after arthroplasty and to other chronic musculoskeletal entities (e.g., adhesive capsulitis), with encouraging results. Despite this promising early evidence, controlled trials and long-term follow-up are needed to define its role in the management of osteoarthritis and other musculoskeletal diseases and, in turn, to support its inclusion in treatment guidelines.

Keywords: Embolotherapy; selective arterial embolization; genicular artery embolization; osteoarthritis; knee osteoarthritis; painful total knee arthroplasty; adhesive capsulitis.

Level of Evidence: IV

 

Embolización arterial selectiva

 

RESUMEN

La osteoartritis de rodilla es la artropatía degenerativa más prevalente y una de las causas principales de dolor crónico y discapacidad. Su fisiopatología involucra desgaste condral, inflamación sinovial, angiogénesis patológica y neoinervación sensorial. El tratamiento varía desde medidas conservadoras hasta la artroplastia. un grupo de pacientes aún no candidatos quirúrgicos se beneficiarían de opciones mínimamente invasivas. La embolización arterial genicular surge como una alternativa prometedora al reducir la neovascularización y, de este modo, el dolor. Se han comunicado mejoras clínicas superiores al 70% y un perfil de seguridad favorable. Su indicación se ha extendido al dolor persistente después de una artroplastia y a otras entidades nosológicas musculoesqueléticas crónicas (capsulitis adhesiva), con resultados alentadores. Pese a la evidencia inicial prometedora, se necesitan ensayos controlados y un seguimiento prolongado para definir su rol en el manejo de la osteoartritis y otras enfermedades musculoesqueléticas y, de esta manera, poder incluirla en guías de tratamiento.

Palabras clave: Emboloterapia; embolización arterial selectiva; embolización de arterias geniculares; osteoartritis; gonartrosis; reemplazo total de rodilla doloroso; capsulitis adhesiva.

Nivel de Evidencia: IV

 

INTRODUCTION

Osteoarthritis is the most common degenerative joint disease worldwide and represents one of the leading causes of chronic pain and disability, especially among older adults. The knee is the most frequently affected joint in people from developed countries. This condition increasingly impacts healthcare systems due to population aging and the sustained rise in obesity.1,2

Traditionally, osteoarthritis was considered a purely degenerative disease, attributed to the progressive “wear and tear” of the articular cartilage. However, in recent decades, it has been recognized that chronic inflammation, particularly of the synovial membrane, plays a central role in its pathophysiology. Mechanical damage triggers a synovial inflammatory response that stimulates pathological angiogenesis and fosters a persistent inflammatory microenvironment, accelerating joint degeneration. Added to this process is sensory neoinnervation associated with neovascularization, which contributes to the persistent pain characteristic of the disease.3,4

Therapeutic strategies range from conservative measures, such as lifestyle modification, physical therapy, analgesics, anti-inflammatory agents, and intra-articular treatments (hyaluronic acid, corticosteroids, or platelet-rich plasma), to surgical procedures. Among these, total knee arthroplasty remains the treatment of choice for advanced, refractory cases.

However, in patients with mild to moderate osteoarthritis who do not adequately respond to conservative management but are not yet surgical candidates, a significant therapeutic gap persists, prompting the search for minimally invasive alternatives.

 

Case of Symptomatic Knee Osteoarthritis

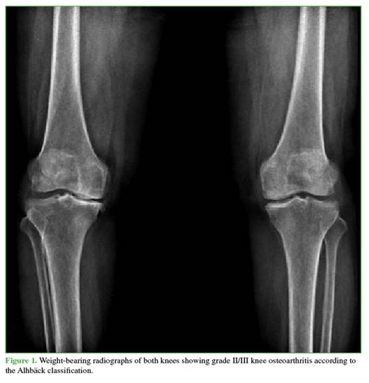
A 68-year-old male surgeon presented with degenerative joint disease and symptomatic genu varum (Figure 1).

Recently, he had to increase his analgesic medication and limit walking.

 

 

 

 

 

 

 

In previous consultations, intra-articular hyaluronic acid injection and prosthetic arthroplasty had been proposed.

At the time of evaluation, the patient reported having declined both options: a) he refused injection therapy because of progressive malalignment of the knee, and b) he was not yet willing to undergo prosthetic arthroplasty, as he did not perceive a significant limitation in his daily or professional activities.

Selective arterial embolization was therefore proposed (Figure 2).

 

 

 

 

 

 

The patient reported marked symptomatic relief following embolization (Figure 3).

Thanks to a better understanding of the pathophysiological mechanisms of osteoarthritis, strategies aimed at modulating inflammation and synovial neoangiogenesis have been developed in recent years. Within this context, the hypothesis has emerged that embolization of synovial neovessels could reduce pain by interrupting pathological blood flow and the associated sensory stimulation. Moreover, interruption of the inflammatory cycle might delay the structural progression of the disease.5-12

 

 

 

 

 

 

 

GENICULAR ARTERY EMBOLIZATION

Genicular artery embolization has emerged as a minimally invasive therapeutic alternative for patients with symptomatic osteoarthritis who do not respond to conventional treatment but are not immediate candidates for prosthetic surgery.

The technique consists of superselective embolization of genicular arterial branches supplying areas of synovial neoangiogenesis, seeking a controlled reduction—though not complete occlusion—of flow to the pathological vessels, in order to decrease inflammation and pain while minimizing the risk of ischemia in adjacent tissues (Figure 4).13

 

 

 

 

 

 

 

Okuno et al.5,6 were pioneers in the clinical implementation of this technique. Over the past decade, they have published several case series and prospective studies documenting significant improvements in pain and function at short- and mid-term follow-up. Based on these initial experiences, genicular artery embolization has been progressively adopted by multiple international centers, consolidating its position as a promising therapeutic option.

Several subsequent studies have confirmed its efficacy, reporting clinical improvement rates exceeding 70%, along with consistent reductions in pain scales, such as the Visual Analog Scale, and in functional questionnaires, including the Western Ontario and McMaster Universities Osteoarthritis Index.7,8

In recent years, genicular artery embolization has also been used to treat: a) persistent pain after total knee arthroplasty, once mechanical and infectious causes have been ruled out as sources of symptoms,14-20 and b) recurrent hemarthrosis, after excluding specific clinical conditions such as coagulopathies or hemorrhagic synovial disorders.21-23

 

Case of Recurrent Hemarthrosis

A 52-year-old man underwent a two-stage revision arthroplasty for periprosthetic joint infection, reconstructed with a rotating-hinge implant. He presented with recurrent hemarthrosis caused by impingement of a synovial fold (Figure 5).

Although current evidence in this context is still limited, available studies suggest that the procedure can achieve significant pain reduction and substantial improvements in quality of life, maintaining a favorable safety profile and short recovery times.

 

 

 

 

 

 

 

In terms of safety, most adverse events reported have been mild and self-limited. The most common is mild, transient post-procedural pain, which usually resolves with symptomatic management. In rare cases, superficial skin ulcerations have been observed, related to non-target embolization of cutaneous branches; these typically heal favorably with conservative local measures. Such events have been associated with the use of permanent embolic agents. These findings support the favorable safety profile of genicular artery embolization when performed using a superselective technique and with appropriate embolic material selection. Furthermore, operator experience plays a crucial role in minimizing risks and optimizing clinical outcomes.18

While most of the accumulated experience pertains to knee osteoarthritis, the technique is now being explored for other musculoskeletal conditions associated with pathological neovascularization and chronic pain, such as rotator cuff tendinopathy, lateral epicondylitis, Achilles tendinopathy, and plantar fasciitis. In these entities, peritendinous neovascularization is often accompanied by sensory neoinnervation, perpetuating pain and functional limitation.

Preliminary pilot studies and case series have shown that selective embolization of these abnormal vessels may lead to pain relief and functional improvement in patients unresponsive to conservative therapies, with a safety profile comparable to that observed in the knee.

Despite these encouraging results, the current evidence presents limitations: small numbers of randomized controlled trials, heterogeneous patient selection criteria, variability in embolization technique and embolic materials used, and relatively short follow-up periods in most studies. These constraints preclude definitive conclusions regarding durability of the effect and need for repeat interventions. Therefore, larger-scale prospective studies with longer follow-up are required to more precisely define the efficacy, safety, and role of genicular artery embolization in the therapeutic algorithm for knee osteoarthritis and other musculoskeletal disorders.

Initial experience suggests that selective embolization, whether genicular or targeting other musculoskeletal sites, represents a minimally invasive, safe, and effective procedure within the multidisciplinary management of chronic pain conditions characterized by neovascularization and inflammatory foci that impact pain sensitivity.

 

REFERENCES

 

1.     Leifer VP, Katz JN, Losina E. The burden of OA-health services and economics. Osteoarthritis Cartilage 2022;30(1):10-6. https://doi.org/10.1016/j.joca.2021.05.007

2.     Sloan M, Premkumar A, Sheth NP. Projected volume of primary total joint arthroplasty in the U.S., 2014 to 2030. J Bone Joint Surg Am 2018;100(17):1455-60. https://doi.org/10.2106/JBJS.17.01617

3.     Mapp PI, Walsh DA. Mechanisms and targets of angiogenesis and nerve growth in osteoarthritis. Nat Rev Rheumatol 2012;8(7):390-8. https://doi.org/10.1038/nrrheum.2012.80

4.     Talaie R, Torkian P, Clayton A, Wallace S, Cheung H, Chalian M, et al. Emerging targets for the treatment of osteoarthritis: new investigational methods to identify neo-vessels as possible targets for embolization. Diagnostics (Basel) 2022;12(6):1403. https://doi.org/10.3390/diagnostics12061403

5.     Kishore S, Sheira D, Malin ML, Trost DW, Mandl LA. Transarterial embolization for the treatment of chronic musculoskeletal pain: a systematic review of indications, safety, and efficacy. ACR Open Rheumatol 2022;4(3):209-17. https://doi.org/10.1002/acr2.11383

6.     Sapoval M, Querub C, Pereira H, Pellerin O, Boeken T, Di Gaeta A, et al. Genicular artery embolization for knee osteoarthritis: results of the LipioJoint-1 trial. Diagn Interv Imaging 2024;105(4):144-50. https://doi.org/10.1016/j.diii.2023.12.003

7.     Okuno Y, Korchi AM, Shinjo T, Kato S, Kaneko T. Midterm clinical outcomes and MR imaging changes after transcatheter arterial embolization as a treatment for mild to moderate radiographic knee osteoarthritis resistant to conservative treatment. J Vasc Interv Radiol 2017;28(7):995-1002. https://doi.org/10.1016/j.jvir.2017.02.033

8.     Okuno Y, Korchi AM, Shinjo T, Kato S. Transcatheter arterial embolization as a treatment for medial knee pain in patients with mild to moderate osteoarthritis. Cardiovasc Intervent Radiol 2015;38(2):336-43. https://doi.org/10.1007/s00270-014-0944-8

9.     Bagla S, Piechowiak R, Hartman T, Orlando J, Del Gaizo D, Isaacson A. Genicular artery embolization for the treatment of knee pain secondary to osteoarthritis. J Vasc Interv Radiol 2020;31(7):1096-102. https://doi.org/10.1016/j.jvir.2019.09.018

10.  Little MW, Gibson M, Briggs J, Speirs A, Yoong P, Ariyanayagam T, et al. Genicular artEry embolizatioN in patiEnts with oSteoarthrItiS of the Knee (GENESIS) using permanent microspheres: interim analysis. Cardiovasc Intervent Radiol 2021;44(9):1340-8. https://doi.org/10.1007/s00270-020-02764-3

11.  Taslakian B, Miller LE, Mabud TS, Macaulay W, Samuels J, Attur M, et al. Genicular artery embolization for treatment of knee osteoarthritis pain: systematic review and meta-analysis. Osteoarthr Cartil Open 2023;5(2):100342. https://doi.org/10.1016/j.ocarto.2023.100342

12.  Cusumano LR, Sparks HD, Masterson KE, Genshaft SJ, Plotnik AN, Padia SA. Genicular artery embolization for treatment of symptomatic knee osteoarthritis: 2-year outcomes from a prospective IDE trial. J Vasc Interv Radiol 2024;35(12):1768-75. https://doi.org/10.1016/j.jvir.2024.08.028

13.  Baerlocher MO, Nikolic B, Sze DY. Adverse event classification: clarification and validation of the Society of Interventional Radiology specialty-specific system. J Vasc Interv Radiol 2023;34(1):1-3. https://doi.org/10.1016/j.jvir.2022.10.011

14.  Wylde V, Beswick A, Bruce J, Blom A, Howells N, Gooberman-Hill R. Chronic pain after total knee arthroplasty. EFORT Open Rev 2018;3(8):461-70. https://doi.org/10.1302/2058-5241.3.180004

15.  Wylde V, Bertram W, Sanderson E, Noble S, Howells N, Peters TJ, et al. The STAR care pathway for patients with pain at 3 months after total knee replacement: a multicentre, pragmatic, randomised, controlled trial. Lancet Rheumatol 2022;4(3):e188-97. https://doi.org/10.1016/S2665-9913(21)00371-4

16.  Chau Y, Roux C, Gonzalez JF, Breuil V, Bernard de Dompsure R, Fontas E, et al. Effectiveness of geniculate artery embolization for chronic pain after total knee replacement: a pilot study. J Vasc Interv Radiol 2023;34(10):1725-33. https://doi.org/10.1016/j.jvir.2023.06.026

17.  Chau Y, Roux C, Breuil V, Trojani C, Gonzalez JF, Amoretti N, et al. Endovascular occlusion of neovascularization as a treatment for persistent pain after total knee arthroplasty. Cardiovasc Intervent Radiol 2020;43(5):787-90. https://doi.org/10.1007/s00270-020-02449-x

18.  Park CN, White PB, Meftah M, Ranawat AS, Ranawat CS. Diagnostic algorithm for residual pain after total knee arthroplasty. Orthopedics 2016;39(2):e246-52. https://doi.org/10.3928/01477447-20160119-06

19.  McDowell M, Park A, Gerlinger TL. The painful total knee arthroplasty. Orthop Clin North Am 2016;47(2):317-26. https://doi.org/10.1016/j.ocl.2015.09.008

20.  Paish HL, Baldock TE, Gillespie CS, Del Carpio Pons A, Mann DA, Deehan DJ, et al. Chronic, active inflammation in patients with failed total knee replacements undergoing revision surgery. J Orthop Res 2019;37(11):2316-24. https://doi.org/10.1002/jor.24398

21.  Cornman-Homonoff J, Kishore SA, Waddell BS, Kesler J, Mandl LA, Westrich GH, et al. Genicular artery embolization for refractory hemarthrosis following total knee arthroplasty: technique, safety, efficacy, and patient-reported outcomes. J Vasc Interv Radiol 2021;32(8):1128-35. https://doi.org/10.1016/j.jvir.2021.04.020

22.  Melian CM, Giannopoulos S, Tsouknidas I, Volteas P, Virvilis D, Koullias GJ. Geniculate artery endovascular embolization post-total knee arthroplasty for hemarthrosis treatment: a systematic review of the literature. J Endovasc Ther 2024;31(6):1158-64. https://doi.org/10.1177/15266028231157642

23.  Autorino CM, Lauritto D, Escobar G, Alvarez Salinas E, San Román A, Santini Araujo E, et al. Hemartrosis recurrente en paciente con reemplazo total de rodilla. Revista Cirugía Reconstructiva de Cadera y Rodilla 2015;1(2): 122-9. Available at: https://acaro.org.ar/acarorevista/files/revistas/vol-1-nro-2/Vol-1-Nro-2-Agosto-2015.pdf

24.  Manske RC, Prohaska D. Diagnosis and management of adhesive capsulitis. Curr Rev Musculoskelet Med 2008;1(3-4):180-9. https://doi.org/10.1007/s12178-008-9031-6

25.  Le HV, Lee SJ, Nazarian A, Rodriguez EK. Adhesive capsulitis of the shoulder: review of pathophysiology and current clinical treatments. Shoulder Elbow 2017;9(2):75-84. https://doi.org/10.1177/1758573216676786

26.  Okuno Y, Iwamoto W, Matsumura N, Oguro S, Yasumoto T, Kaneko T, et al. Clinical outcomes of transcatheter arterial embolization for adhesive capsulitis resistant to conservative treatment. J Vasc Interv Radiol 2017;28(2):161-7.e1. https://doi.org/10.1016/j.jvir.2016.09.028

27.  Okuno Y, Oguro S, Iwamoto W, Miyamoto T, Ikegami H, Matsumura N. Short-term results of transcatheter arterial embolization for abnormal neovessels in patients with adhesive capsulitis: a pilot study. J Shoulder Elbow Surg 2014;23(9):e199-206. https://doi.org/10.1016/j.jse.2013.12.014

28.  Fernández Martínez AM, Baldi S, Alonso-Burgos A, López R, Vallejo-Pascual ME, Cuesta Marcos MT, et al. Mid-term results of transcatheter arterial embolization for adhesive capsulitis resistant to conservative treatment. Cardiovasc Intervent Radiol 2021;44(3):443-51. https://doi.org/10.1007/s00270-020-02682-4

29.  Xu Y, Bonar F, Murrell GAC. Enhanced expression of neuronal proteins in idiopathic frozen shoulder. J Shoulder Elbow Surg 2012;21(10):1391-7. https://doi.org/10.1016/j.jse.2011.08.046

30.  Hwang JH, Park SW, Kim KH, Lee SJ, Oh KS, Chung SW, et al. Early results of transcatheter arterial embolization for relief of chronic shoulder or elbow pain associated with tendinopathy refractory to conservative treatment. J Vasc Interv Radiol 2018;29(4):510-7. https://doi.org/10.1016/j.jvir.2017.11.013

31.  Bagla S, Nagda S, Piechowiak R, Orlando J, Sajan A, Isaacson A. Results from a United States investigational device study of adhesive capsulitis embolization in the treatment of shoulder pain: the adhesive capsulitis embolization study. J Vasc Interv Radiol 2022;33(2):177-82. https://doi.org/10.1016/j.jvir.2021.10.031

32.  Okuno Y, Yasumoto T, Koganemaru M, Suyama Y, Nishiofuku H, Horikawa M, et al. Transarterial embolization of neovascularity for refractory nighttime shoulder pain: a multicenter, open-label, feasibility trial. J Vasc Interv Radiol 2022;33(12):1468-75.e8. https://doi.org/10.1016/j.jvir.2022.08.016

33.  Lopes PM, Cavalheiro F, Gonçalves R, Sousa F, Sousa P. Musculoskeletal embolization: endovascular treatment of adhesive capsulitis. ARP Rheumatol 2024;3(2):159-61. PMID: 38956999

34.  Lanciego C, Puentes-Gutierrez A, Sánchez-Casado M, Cifuentes-Garcia I, Fernández-Tamayo A, Dominguez-Paillacho D, et al. Transarterial embolization for adhesive capsulitis of the shoulder: midterm outcomes on function and pain relief. J Vasc Interv Radiol 2024;35(4):550-7. https://doi.org/10.1016/j.jvir.2023.12.572

 

 

V. Bertoni ORCID ID: https://orcid.org/0009-0003-6519-4053

F. Manfrin ORCID ID: https://orcid.org/0009-0000-0234-5684

C. M. Autorino ORCID ID: https://orcid.org/0000-0001-6410-3816

 

Received on September 23rd, 2025. Accepted after evaluation on September 25th, 2025 Dr. Hernán G. Bertoni hernangbertoni11@gmail.com https://orcid.org/0000-0002-0821-413X

 

How to cite this article: Bertoni HG, Bertoni V, Autorino CM, Manfrin F. Selective Arterial Embolization. Rev Asoc Argent Ortop Traumatol 2025;90(5):472-480. https://doi.org/10.15417/issn.1852-7434.2025.90.5.2226

 

 

Article Info

Identification: https://doi.org/10.15417/issn.1852-7434.2025.90.5.2226

Published: October, 2025

Conflict of interests: The authors declare no conflicts of interest.

Copyright: © 2025, Revista de la Asociación Argentina de Ortopedia y Traumatología.

License: This article is under Attribution-NonCommertial-ShareAlike 4.0 International Creative Commons License (CC-BY-NC-SA 4.0).