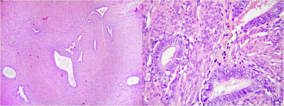
Pubalgia alta a causa de un endometrioma espontáneo de la pared abdominal. Reporte de un caso.
Contenido principal del artículo
Descargas
Métricas
Detalles del artículo

Esta obra está bajo licencia internacional Creative Commons Reconocimiento-NoComercial-CompartirIgual 4.0.
La aceptación del manuscrito por parte de la revista implica la no presentación simultánea a otras revistas u órganos editoriales. La RAAOT se encuentra bajo la licencia Creative Commons 4.0. Atribución-NoComercial-CompartirIgual (http://creativecommons.org/licenses/by-nc-sa/4.0/deed.es). Se puede compartir, copiar, distribuir, alterar, transformar, generar una obra derivada, ejecutar y comunicar públicamente la obra, siempre que: a) se cite la autoría y la fuente original de su publicación (revista, editorial y URL de la obra); b) no se usen para fines comerciales; c) se mantengan los mismos términos de la licencia.
En caso de que el manuscrito sea aprobado para su próxima publicación, los autores conservan los derechos de autor y cederán a la revista los derechos de la publicación, edición, reproducción, distribución, exhibición y comunicación a nivel nacional e internacional en las diferentes bases de datos, repositorios y portales.
Se deja constancia que el referido artículo es inédito y que no está en espera de impresión en alguna otra publicación nacional o extranjera.
Por la presente, acepta/n las modificaciones que sean necesarias, sugeridas en la revisión por los pares (referato), para adaptar el trabajo al estilo y modalidad de publicación de la Revista.
Citas
2. Chatman DL, Ward AB. Endometriosis in adolescents. J Reprod Med 1982;27(3):156-60.
3. Olvie DL, Schwartz LB. Endometriosis. N Engl J Med 1993;328(24):1759-69.
4. Treloar SA, Bell TA, Nagle CM, Purdie DM, Green AC. Early menstrual characteristics associated with subsequent diagnosis of endometriosis. Am J Obstet Gynecol 2010;202(6):543.e1-6.
5. Williams HE, Baesky S, Strino W. Umbilical endometrioma (silent type). Arch Dermatol 1976;112(10):1435-6.
6. Steck WD, Helwing EB. Cutaneous endometriosis. Clin Obstet Gynecol 1966;9(2):373-83.
7. Markham SM, Carpenter SE, Rock JA. Extrapelvic endometriosis. Obstet Gynecol Clin North Am 1989;16(1):193-219.
8. Ideyi SC, Shein M, Niazi M, Gerst PH. Spontaneous endometriosis of the abdominal wall. Dig Surg 2003;20(3):246-8.
9. Giudice LC, Kao LC. Endometriosis. Lancet 2004;364(9447):1789-99.
10. Chatterjee SK. Scar endometriosis. A clinicopathologic study of 17 cases. Obstet Gynecol 1980;56(1):81-4.
11. Bektaç H, Bilsel Y, Sarı YS, Ersöz F, Koç O, Deniz M, et al. Abdominal wall endometrioma; a 10 year experience and brief review of the literature. J Surg Res 2010;164(1):e77-81.
12. Koger KE, Shatney CH, Hodge K, McClenathan JH. Surgical scar endometrioma. Surg Gynecol Obstet 1993;177(3):243-6.
13. Blanco RG, Parithivel VS, Shah AK, Gumbs MA, Schein M, Gerst PH. Abdominal wall endometriomas. Am J Surg 2003;185(6):596-8.
14. Hensen JH, Van Breda Vriesman AC, Puylaert JB. Abdominal wall endometriosis: clinical presentation and imaging features with emphasis on sonography. AJR Am J Roentgenol 2006;186(3):616-20.
15. Kinkel K, Frei KA, Balleyguier C, Chapron C. Diagnosis of endometriosis with imaging: a review. Eur Radiol 2006;16(2):285-98.
16. Bumpers HL, Butler KL, Best IM. Endometrioma of the abdominal wall. Am J Obstet Gynecol 2002;187(6):1709-10.
17. Heaps JM, Nieberg RK, Berek JS. Malignant neoplasms arising in endometriosis. Obstet Gynecol 1990;75(6):1023-8.
