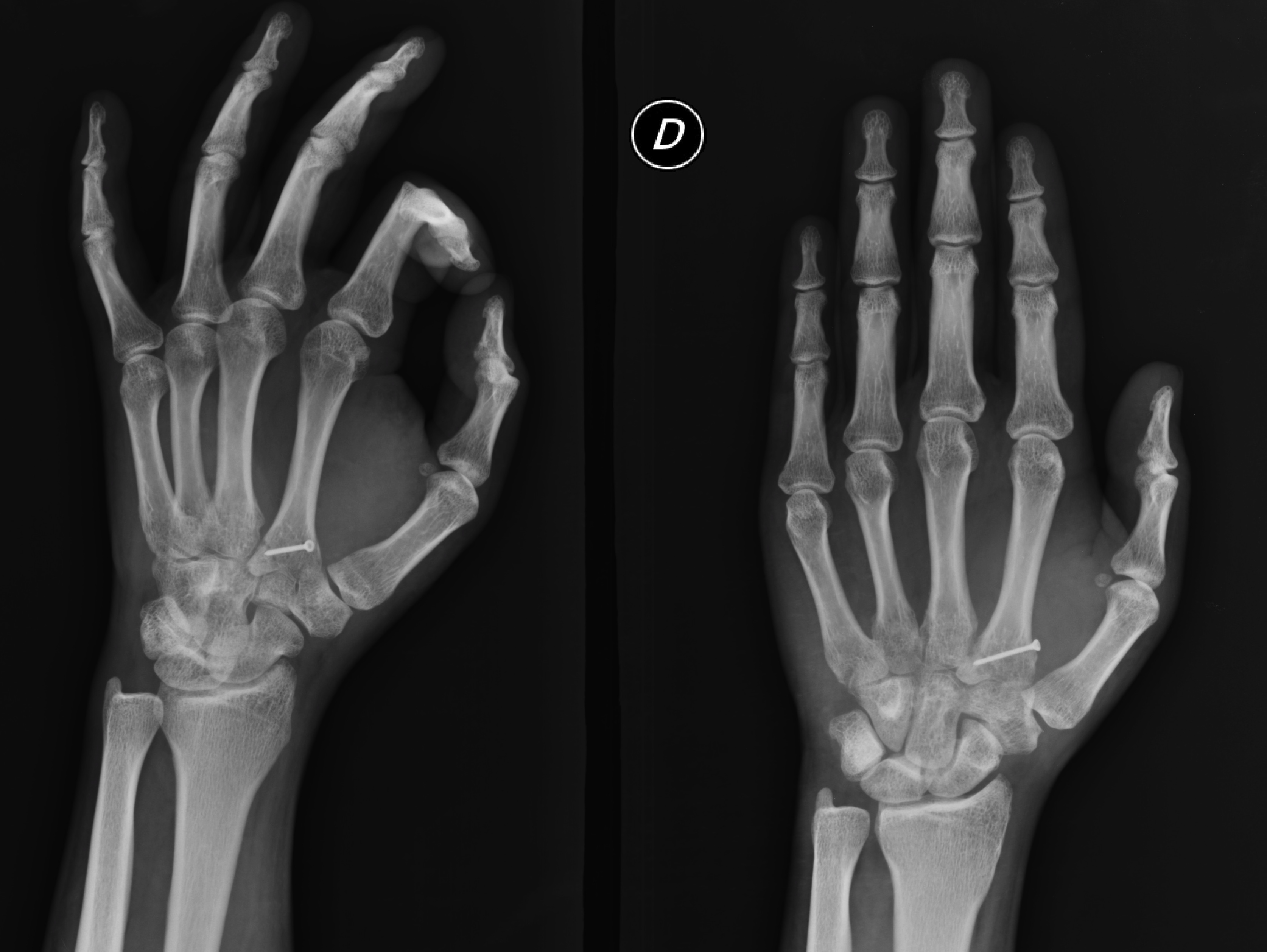
Fractura del cóndilo cubital de la base del 2do metacarpiano con desplazamiento a palmar. Presentación de un caso
Descargas
Citas
Bushnell BD, Draeger RW, Crosby CG, Bynum DK. Management of intra-articular metacarpal base fractures of the second through fifth metacarpals. J Hand Surg Am 2008;33(4):573-83.
Hodgson P, Sherwrin DJ. The metacarpal cascade lines; use in the diagnosis of dislocations of the carpometacarpal joints. J Hand Surg Eur 2007;32(3):277-81.
Lewis HL. Dislocation of the second metacarpal. Clin Orthop Relat Res 1973(93):253-55.
Thomas WO, Gottliebson WM, Amore TF, Harris CN, Parry SW. Isolated palmar displaced fracture of the base of the index metacarpal: a case report. J Hand Surg Am 1994;19(3):455-6.
Takami H, Takahashi S, Ando M. Isolated volar displaced fracture of the ulnar condyle at the base of the index metacarpal: A case report. J Hand Surg Am 1997;22(6):1064-6.
Shyamsundar S. Avulsion fracture of the extensor carpi radialis longus tendon: case report and literatura review. Hand Surg 2012;17(02):247-9.
Crichlow TPT, Hoskinson JJ. Avulsion fracture of the index metacarpal base: three case reports. J Hand Surg Br 1988;13(2):212-4.
Treble N, Arif S. Avulsion fracture of the index metacarpal. J Hand Surg Br 1987;12(1):38-9.
Myerthall SL, Graham B. Osteonecrosis of the base of the second metacarpal: a case report. J Hand Surg 1999;24(4):853-5.
Derechos de autor 2016 Revista de la Asociación Argentina de Ortopedia y Traumatología

Esta obra está bajo licencia internacional Creative Commons Reconocimiento-NoComercial-CompartirIgual 4.0.
La aceptación del manuscrito por parte de la revista implica la no presentación simultánea a otras revistas u órganos editoriales. La RAAOT se encuentra bajo la licencia Creative Commons 4.0. Atribución-NoComercial-CompartirIgual (http://creativecommons.org/licenses/by-nc-sa/4.0/deed.es). Se puede compartir, copiar, distribuir, alterar, transformar, generar una obra derivada, ejecutar y comunicar públicamente la obra, siempre que: a) se cite la autoría y la fuente original de su publicación (revista, editorial y URL de la obra); b) no se usen para fines comerciales; c) se mantengan los mismos términos de la licencia.
En caso de que el manuscrito sea aprobado para su próxima publicación, los autores conservan los derechos de autor y cederán a la revista los derechos de la publicación, edición, reproducción, distribución, exhibición y comunicación a nivel nacional e internacional en las diferentes bases de datos, repositorios y portales.
Se deja constancia que el referido artículo es inédito y que no está en espera de impresión en alguna otra publicación nacional o extranjera.
Por la presente, acepta/n las modificaciones que sean necesarias, sugeridas en la revisión por los pares (referato), para adaptar el trabajo al estilo y modalidad de publicación de la Revista.

