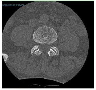
Hernia intraesponjosa de Schmörl sintomática. [Symptomatic intraosseous Schmörl herniation]
Contenido principal del artículo
Resumen
Descargas
Métricas
Detalles del artículo

Esta obra está bajo licencia internacional Creative Commons Reconocimiento-NoComercial-CompartirIgual 4.0.
La aceptación del manuscrito por parte de la revista implica la no presentación simultánea a otras revistas u órganos editoriales. La RAAOT se encuentra bajo la licencia Creative Commons 4.0. Atribución-NoComercial-CompartirIgual (http://creativecommons.org/licenses/by-nc-sa/4.0/deed.es). Se puede compartir, copiar, distribuir, alterar, transformar, generar una obra derivada, ejecutar y comunicar públicamente la obra, siempre que: a) se cite la autoría y la fuente original de su publicación (revista, editorial y URL de la obra); b) no se usen para fines comerciales; c) se mantengan los mismos términos de la licencia.
En caso de que el manuscrito sea aprobado para su próxima publicación, los autores conservan los derechos de autor y cederán a la revista los derechos de la publicación, edición, reproducción, distribución, exhibición y comunicación a nivel nacional e internacional en las diferentes bases de datos, repositorios y portales.
Se deja constancia que el referido artículo es inédito y que no está en espera de impresión en alguna otra publicación nacional o extranjera.
Por la presente, acepta/n las modificaciones que sean necesarias, sugeridas en la revisión por los pares (referato), para adaptar el trabajo al estilo y modalidad de publicación de la Revista.
Citas
2. Pilet B, Salgado R, Van Havenbergh T, Parizel PM. Development of acute Schmorl nodes after discography. J Comput Assist Tomogr 2009;33:597-600. https://doi.org/10.1097/RCT.0b013e318188598b
3. Williams FM, Manek NJ, Sambrook PN, Spector TD, Macgregor AJ. Schmorl’s nodes: common, highly heritable, and related to lumbar disc disease. Arthritis Rheum 2007;57:855-60. https://doi.org/10.1002/art.22789
4. Wu HT, Morrison WB, Schweitzer ME. Edematous Schmorl’s nodes on thoracolumbar MR imaging: characteristic patterns and changes over time. Skeletal Radiol 2006;35:212-9. https://doi.org/10.1007/s00256-005-0068-y
5. Jang JS, Kwon HK, Lee JJ, Hwang SM, Lim SY. Rami communicans nerve block for the treatment of symptomatic Schmorl’s nodes: a case report. Korean J Pain 2010;23:262-5. https://doi.org/10.3344/kjp.2010.23.4.262
6. Fahey V, Opeskin K, Silberstein M, Anderson R, Briggs C. The pathogenesis of Schmorl’s nodes in relation to acute trauma: an autopsy study. Spine (Phila Pa 1976) 1998;23:2272-5. PMID: 9820905
7. Grive E, Rovira A, Capellades J, Rivas A, Pedraza S. Radiologic findings in two cases of acute Schmorl’s nodes. AJNR Am J Neuroradiol 1999;20:1717-21. http://www.ajnr.org/content/ajnr/20/9/1717.full.pdf
8. Crawford BA, van der Wall H. Bone scintigraphy in acute intraosseous disc herniation. Clin Nucl Med 2007;32:790-2. https://doi.org/10.1097/RLU.0b013e318149ee54
9. Resnick D, Niwayama G. Intravertebral disk herniations: cartilaginous (Schmorl’s) nodes. Radiology 1978;126:57-65. https://doi.org/10.1148/126.1.57
10. Hilton RC, Ball J, Benn RT. Vertebral end-plate lesions (Schmorl’s nodes) in the dorsolumbar spine. Ann Rheum Dis 1976;35:127-32. https://doi.org/10.1136/ard.35.2.127
11. Dar G, Masharawi Y, Peleg S, Steinberg N, May H, Medlej B, et al. Schmorl’s nodes distribution in the human spine and its possible etiology. Eur Spine J 2010;19:670-5. https://doi.org/ 10.1007/s00586-009-1238-8
12. Silberstein M, Opeskin K, Fahey V. Spinal Schmorl’s nodes: sagittal sectional imaging and pathological examination. Australas Radiol 1999;43:27-30. https://doi.org/10.1046/j.1440-1673.1999.00613.x
13. Hamanishi C, Kawabata T, Yosii T, Tanaka S. Schmorl’s nodes on magnetic resonance imaging. Their incidence and clinical relevance. Spine (Phila Pa 1976) 1994;19:450-3. PMID: 8178234
14. Stabler A, Bellan M, Weiss M, Gartner C, Brossmann J, Reiser MF. MR imaging of enhancing intraosseous disk herniation (Schmorl’s nodes). AJR Am J Roentgenol 1997;168:933-8. https://doi.org/10.2214/ajr.168.4.9124143
15. Jensen MC, Brant-Zawadzki MN, Obuchowski N, Modic MT, Malkasian D, Ross JS. Magnetic resonance imaging of the lumbar spine in people without back pain. N Engl J Med 1994;331:69-73. https://doi.org/10.1056/NEJM199407143310201
16. Takahashi K, Miyazaki T, Ohnari H, Takino T, Tomita K. Schmorl’s nodes and low-back pain. Analysis of magnetic resonance imaging findings in symptomatic and asymptomatic individuals. Eur Spine J 1995;4:56- 9. https://doi.org/10.1007/bf00298420
17. Walters G, Coumas JM, Akins CM, Ragland RL. Magnetic resonance imaging of acute symptomatic Schmorl’s node formation. Pediatr Emerg Care 1991;7:294-6. https://doi.org/10.1097%2F00006565-199110000-00009
18. Seymour R, Williams LA, Rees JI, Lyons K, Lloyd DC. Magnetic resonance imaging of acute intraosseous disc herniation. Clin Radiol 1998;53:363-8. https://doi.org/10.1016/S0009-9260(98)80010-X
19. Pfirrmann CW, Resnick D. Schmorl nodes of the thoracic and lumbar spine: radiographic-pathologic study of prevalence, characterization, and correlation with degenerative changes of 1,650 spinal levels in 100 cadavers. Radiology 2001;219:368-74. https://doi.org/10.1148/radiology.219.2.r01ma21368
20. Hasegawa K, Ogose A, Morita T, Hirata Y. Painful Schmorl’s node treated by lumbar interbody fusion. Spinal Cord 2004;42:124-8. https://doi.org/10.1038/sj.sc.3101506
21. Masala S, Pipitone V, Tomassini M, Massari F, Romagnoli A, Simonetti G. Percutaneous vertebroplasty in painful schmorl nodes. Cardiovasc Intervent Radiol 2006;29:97-101. https://doi.org/10.1007/s00270-005-0153-6
22. Wenger M, Markwalder TM. Fluoronavigation-assisted, lumbar vertebroplasty for a painful Schmorl node. J Clin Neurosci 2009;16:1250-1251. https://doi.org/10.1016/j.jocn.2008.11.016
23. Yamaguchi T, Suzuki S, Ishiiwa H, Yamato M, Ueda Y. Schmorl’s node developing in the lumbar vertebra affected with metastatic carcinoma: correlation magnetic resonance imaging with histological findings. Spine 2003;28(24):E503-E505. https://doi.org/10.1097/01.BRS.0000099388.63504.4D
24. Borad MJ, Saadati H, Lakshmipathy A, Campbell E, Hopper P, Jameson G, et al. Skeletal metastases in pancreatic cancer: a retrospective study and review of the literature. Yale J Biol Med 2009;82(1):1-6. https://www.ncbi.nlm.nih.gov/pmc/articles/PMC2660584/
25. Pneumaticos SG, Savidou C, Korres DS, Chatziioannou SN. Pancreatic cancer’s initial presentation: back pain due to osteoblastic bone metastasis. Eur J Cancer Care 2010;19(1):137-40. https://doi.org/10.1111/j.1365-2354.2007.00920.x
