Explorar 41 títulos
Todos los artículos
-
Instrucción Ortopédica de Posgrado - Imágenes - Presentación del caso
3-6
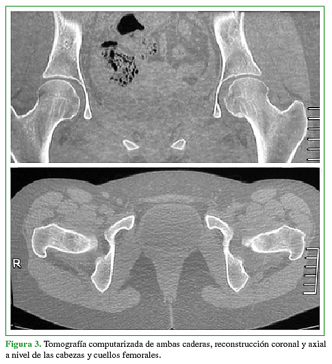
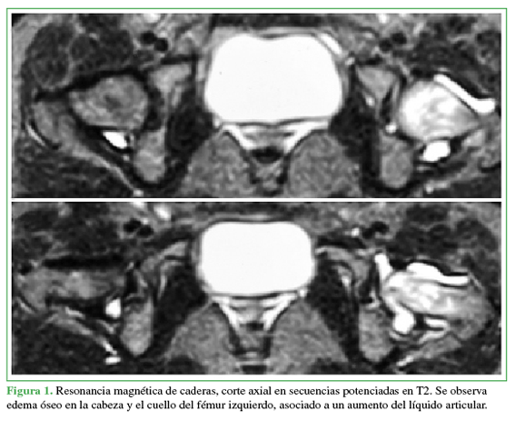
Acceso mediante suscripción PDF Acceso mediante suscripción PDF_EN (English) Acceso mediante suscripción Figura 1 Acceso mediante suscripción Figura 2 Acceso mediante suscripción Figura 3 Acceso mediante suscripción Figura 4 Acceso mediante suscripción Figura 5 Acceso mediante suscripción Figura 6 Acceso mediante suscripción HTML
