662-668
Tumor mesenquimático fosfatúrico
614
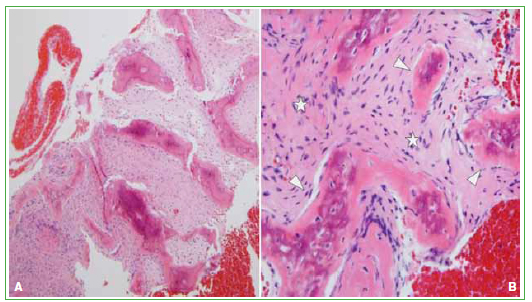
Gonalgia. Linfoma óseo primario
560-565
360-370
639-644
371-377
S45-S47
23-33
821-828
335-348
167-173