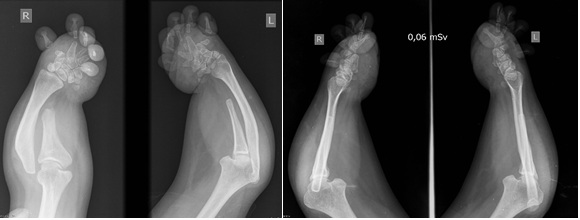
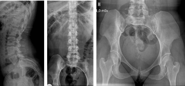
Síndrome de Grebe. Reporte de un caso. [Grebe syndrome. Case report.]
Contenido principal del artículo
Resumen
Descargas
Métricas
Detalles del artículo

Esta obra está bajo licencia internacional Creative Commons Reconocimiento-NoComercial-CompartirIgual 4.0.
La aceptación del manuscrito por parte de la revista implica la no presentación simultánea a otras revistas u órganos editoriales. La RAAOT se encuentra bajo la licencia Creative Commons 4.0. Atribución-NoComercial-CompartirIgual (http://creativecommons.org/licenses/by-nc-sa/4.0/deed.es). Se puede compartir, copiar, distribuir, alterar, transformar, generar una obra derivada, ejecutar y comunicar públicamente la obra, siempre que: a) se cite la autoría y la fuente original de su publicación (revista, editorial y URL de la obra); b) no se usen para fines comerciales; c) se mantengan los mismos términos de la licencia.
En caso de que el manuscrito sea aprobado para su próxima publicación, los autores conservan los derechos de autor y cederán a la revista los derechos de la publicación, edición, reproducción, distribución, exhibición y comunicación a nivel nacional e internacional en las diferentes bases de datos, repositorios y portales.
Se deja constancia que el referido artículo es inédito y que no está en espera de impresión en alguna otra publicación nacional o extranjera.
Por la presente, acepta/n las modificaciones que sean necesarias, sugeridas en la revisión por los pares (referato), para adaptar el trabajo al estilo y modalidad de publicación de la Revista.
Citas
2. Costa T, Ramsby G, Cassia F. Grebe syndrome: Clinical and radiographic findings in affected individuals and heterozygous carries. Am J Med Genet 1988: 75: 523/529.
3. Baraitser M, Winter RM. Oxford: Oxford University Press; 2009. London Dysmorphology Database, London Medical Databases.
4. Du Pan CM. Absence congenitale du perone sans deformation du tibia: Curieuses deformations congenitales des mains. Rev Orthop. 1924;11:227–34.
5. Langer LOE, Jr, Cervenka J, Camargo M. A severe autosomal recessive acromesomelic dysplasia, the Hunter-Thompson type, and comparison with the Grebe type. Hum Genet.1989;81:323–8.

