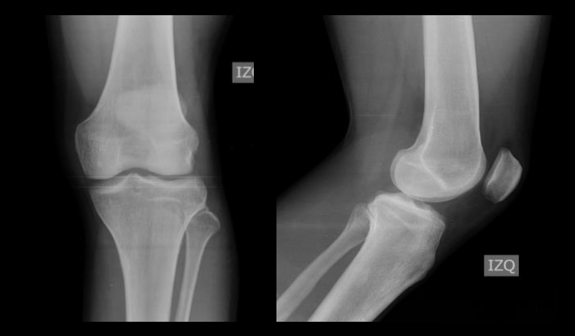
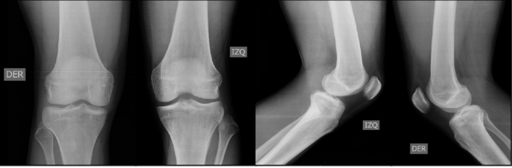
Luxación traumática aguda de la articulación tibioperonea proximal. Reporte de un caso y revisión bibliográfica. [Acute traumatic dislocation of the proximal tibiofibular joint: case report and review of the literature].
Contenido principal del artículo
Resumen
Descargas
Métricas
Detalles del artículo

Esta obra está bajo licencia internacional Creative Commons Reconocimiento-NoComercial-CompartirIgual 4.0.
La aceptación del manuscrito por parte de la revista implica la no presentación simultánea a otras revistas u órganos editoriales. La RAAOT se encuentra bajo la licencia Creative Commons 4.0. Atribución-NoComercial-CompartirIgual (http://creativecommons.org/licenses/by-nc-sa/4.0/deed.es). Se puede compartir, copiar, distribuir, alterar, transformar, generar una obra derivada, ejecutar y comunicar públicamente la obra, siempre que: a) se cite la autoría y la fuente original de su publicación (revista, editorial y URL de la obra); b) no se usen para fines comerciales; c) se mantengan los mismos términos de la licencia.
En caso de que el manuscrito sea aprobado para su próxima publicación, los autores conservan los derechos de autor y cederán a la revista los derechos de la publicación, edición, reproducción, distribución, exhibición y comunicación a nivel nacional e internacional en las diferentes bases de datos, repositorios y portales.
Se deja constancia que el referido artículo es inédito y que no está en espera de impresión en alguna otra publicación nacional o extranjera.
Por la presente, acepta/n las modificaciones que sean necesarias, sugeridas en la revisión por los pares (referato), para adaptar el trabajo al estilo y modalidad de publicación de la Revista.
Citas
2. Ogden J. Subluxation and dislocation of the proximal tibiofibular joint. J Bone Joint Surg Am 1974;56:145-54.
3. Bozkurt M, Yilmaz E, Atlihamn D, Tekdemir I, Havitçio lu H, Günal I. The proximal tibiofibular joint: an anatomic study. Clin Orthop Relat Res 2003;406:136-40.
4. Horan J, Quin G. Proximal tibiofibular dislocation. Emerg Med J 2006;23:e33.
5. Ellis C. A case of isolated proximal tibiofibular joint dislocation while snowboarding. Emerg Med J 2003;20:563-4.
6. Resnick D, Newell JD, Guerra J Jr, Danzig LA, Niwayama G, Goergen TG. Proximal tibiofibular joint: anatomic pathologicradiographic correlation. Am J Roentgenol 1978;131:133-8.
7. Burke NG, Robinson E, Thompson NW. An isolated proximal tibiofibular joint dislocation in a young male playing soccer: a case report. Cases J 2009;2:7261
8. Ogden JA. The anatomy and function of the proximal tibiofibular joint. Clin Orthop 1974;101:186-91.
9. Laing AJ, Lenehan B, Ali A, Prasad CV. Isolated dislocation of the proximal tibiofibular joint in a long jumper. Br J Sports Med 2003;37(4):366-7.
10. Parkes JC 2nd, Zelko RR. Isolated acute dislocation of the proximal tibiofibular joint. Case report. J Bone Joint Surg Am 1973;55(1):177-83.
11. Sekiya JK, Kuhn JE. Instability of the proximal tibiofibular joint. J Am Acad Orthop Surg 2003;11(2):120-8, 14.
12. Thomason PA, Linson MA. Isolated dislocation of the proximal tibiofibular joint. J Trauma 1986;26(2):192-5.
13. Kapoor V, Theruvil B, Britton JM. Excision arthroplasty of superior tibiofibular joint for recurrent proximal tibiofibular cyst. A report of two cases. Joint Bone Spine 2004;71(5):427-9.
14. Mena H, Brautigan B, Johnson DL. Split biceps femoris tendon reconstruction for proximal tibiofibular joint instability. Arthroscopy 2001;17(6):668-71.
15. Nieuwe Weme RA, Somford MP, Schepers T. Proximal tibiofibular dislocation: a case report and review of literature. Strategies Trauma Limb Reconstr 2014;9:185-9
