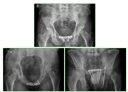
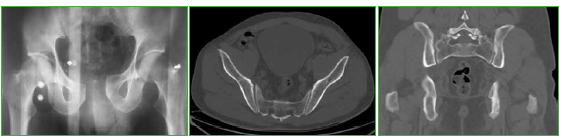
Flegmasia cerúlea dolens posquirúrgica inmediata en el tratamiento de una fractura de pelvis. Reporte de Caso
Contenido principal del artículo
Resumen
Descargas
Métricas
Detalles del artículo
La aceptación del manuscrito por parte de la revista implica la no presentación simultánea a otras revistas u órganos editoriales. La RAAOT se encuentra bajo la licencia Creative Commons 4.0. Atribución-NoComercial-CompartirIgual (http://creativecommons.org/licenses/by-nc-sa/4.0/deed.es). Se puede compartir, copiar, distribuir, alterar, transformar, generar una obra derivada, ejecutar y comunicar públicamente la obra, siempre que: a) se cite la autoría y la fuente original de su publicación (revista, editorial y URL de la obra); b) no se usen para fines comerciales; c) se mantengan los mismos términos de la licencia.
En caso de que el manuscrito sea aprobado para su próxima publicación, los autores conservan los derechos de autor y cederán a la revista los derechos de la publicación, edición, reproducción, distribución, exhibición y comunicación a nivel nacional e internacional en las diferentes bases de datos, repositorios y portales.
Se deja constancia que el referido artículo es inédito y que no está en espera de impresión en alguna otra publicación nacional o extranjera.
Por la presente, acepta/n las modificaciones que sean necesarias, sugeridas en la revisión por los pares (referato), para adaptar el trabajo al estilo y modalidad de publicación de la Revista.
Citas
2. Stallworth JM, Bradham GB, Kletke RR, Price RG Jr. Phlegmasia cerulea dolens: a 10-year review. Ann Surg 1965;161:802-11. https://doi.org/10.1097/00000658-196505000-00018
3. Haimovici H. Cirugía vascular. Principios y técnicas, 4ª ed. Río de Janeiro: Editorial Dilibros; 1999.
4. Núñez Valdovinos B, Morales Morales M, Goic Boroevic I, Carrasco González G, Espinoza Cepeda E, González Dettoni H. Revisión a partir de un caso clínico: Flegmasia cerulea dolens. Rev Chil Med Intensiv 2009;24(2):65-70. https://pesquisa.bvsalud.org/portal/resource/pt/lil-669738
5. Cahill RA, Redmond HP. Postoperative phlegmasia caerulea dolens: a case report and consideration of potential iatrogenic factors. J Med Case Reports 2007;1:163. https://doi.org/10.1186/1752-1947-1-163
6. Tile M. Pelvic ring fractures: should they be fixed? J Bone Joint Surg Br 1988;70(1):1-12. PMID: 3276697
7. Tile M, Pennal G. Pelvic disruption: principles of management. Clin Orthop Relat Res 1980;(151):56-64. PMID: 7418324
8. Caprini JA, Arcelus JI, Reyna JJ. Effective risk stratification of surgical and nonsurgical patients for venous thromboembolic disease. Semin Hematol 2001;38(2 Suppl 5):12-9. https://doi.org/10.1016/s0037-1963(01)90094-0
9. Cabrera-Rayo A, Nellen-Hummel H. Epidemiología de la enfermedad tromboembólica venosa. Gac Méd Méx 2007;143(Supl 1):3-5. https://www.medigraphic.com/pdfs/gaceta/gm-2007/gms071b.pdf
10. Matta JM, Tornetta P 3rd. Internal fixation of unstable pelvic ring injuries. Clin Orthop Relat Res 1996;(329):129-40. https://doi.org/10.1097/00003086-199608000-00016
11. Musso D, Vindver G, Bidolegui F. Manejo en la urgencia de las lesiones del anillo pelviano. Rev Asoc Argent Ortop Traumatol 2004;69(3):270-80. https://www.aaot.org.ar/revista/2004/n3_vol69/art14.pdf
