Explorar 61 títulos
Todos los artículos
-
Artroplastia total de rodilla en pacientes con secuela de fracturas articulares. Resultados del seguimiento a mediano plazo
107-118
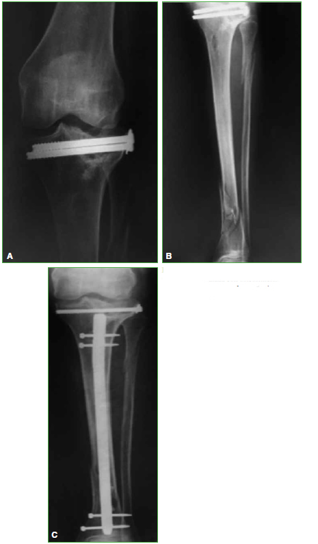
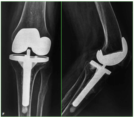
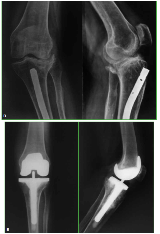
Acceso mediante suscripción PDF Acceso mediante suscripción PDF_EN (English) Acceso mediante suscripción HTML Acceso mediante suscripción Figura 1 (a-c) Acceso mediante suscripción Figura 1 (d-e) Acceso mediante suscripción Figura 1 (f) Acceso mediante suscripción Tabla 1 Acceso mediante suscripción Tabla 2 Acceso mediante suscripción Tabla 3 Acceso mediante suscripción Tabla 4
