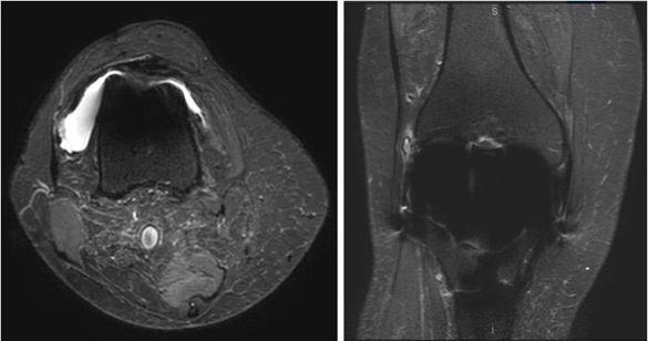
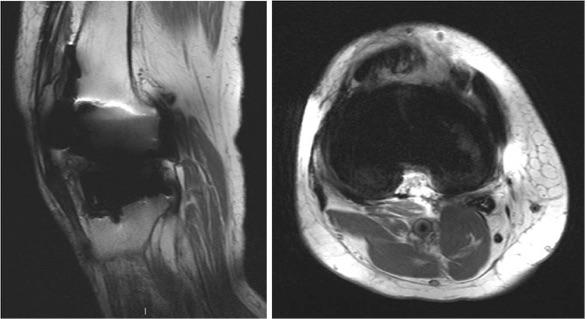
Evaluación con resonancia magnética de artroplastias totales de rodilla sintomáticas. [MRI evaluation of symptomatic total knee arthroplasties ].
Contenido principal del artículo
Resumen
Descargas
Métricas
Detalles del artículo

Esta obra está bajo licencia internacional Creative Commons Reconocimiento-NoComercial-CompartirIgual 4.0.
La aceptación del manuscrito por parte de la revista implica la no presentación simultánea a otras revistas u órganos editoriales. La RAAOT se encuentra bajo la licencia Creative Commons 4.0. Atribución-NoComercial-CompartirIgual (http://creativecommons.org/licenses/by-nc-sa/4.0/deed.es). Se puede compartir, copiar, distribuir, alterar, transformar, generar una obra derivada, ejecutar y comunicar públicamente la obra, siempre que: a) se cite la autoría y la fuente original de su publicación (revista, editorial y URL de la obra); b) no se usen para fines comerciales; c) se mantengan los mismos términos de la licencia.
En caso de que el manuscrito sea aprobado para su próxima publicación, los autores conservan los derechos de autor y cederán a la revista los derechos de la publicación, edición, reproducción, distribución, exhibición y comunicación a nivel nacional e internacional en las diferentes bases de datos, repositorios y portales.
Se deja constancia que el referido artículo es inédito y que no está en espera de impresión en alguna otra publicación nacional o extranjera.
Por la presente, acepta/n las modificaciones que sean necesarias, sugeridas en la revisión por los pares (referato), para adaptar el trabajo al estilo y modalidad de publicación de la Revista.
Citas
2. Heyse TJ, Figiel J, Hähnlein U, Timmesfeld N, Lakemeier S, Schofer MD, et al .MRI after patellofemoral replacement: the preserved compartments. Eur J Radiol. 2012 Sep;81(9):2313-7.
3. Manaster, BJ. Total knee arthroplasty: postoperative radiologic findings. AJR Am J Roentgenol, 1995. 165(4): p. 899-904.
4. Sofka CM, Potter HG, Figgie M, Laskin R. Magnetic resonance imaging of total knee arthroplasty. Clin Orthop Relat Res. 2003 Jan;(406):129-35.
5. Taljanovic MS, Jones MD, Hunter TB, Benjamin JB, Ruth JT, Brown AW, SheppardJE. Joint arthroplasties and prostheses. Radiographics. 2003 Sep-Oct;23(5):1295-314.
6. McCauley TR. MR imaging evaluation of the postoperative knee. Radiology. 2005 Jan;234(1):53-61.
7. Sutter R, Ulbrich EJ, Jellus V, Nittka M, Pfirrmann CW. Reduction of metal artifacts in patients with total hip arthroplasty with slice-encoding metal artifact correction and view-angle tilting MR imaging. Radiology. 2012 Oct;265(1):204-14.8.
8. Recht, MP, Kramer J. MR imaging of the postoperative knee: a pictorial essay. Radiographics, 2002. 22(4): p. 765-74.
9. Heyse TJ, Figiel J, Hähnlein U, Timmesfeld N, Schmitt J, Schofer MD, et al MRI after unicondylar knee arthroplasty: the preserved compartments. Knee. 2012 Dec;19(6):923-6.
10. Heyse TJ, Chong le R, Davis J, Boettner F, Haas SB, Potter HG. MRI analysis for rotation of total knee components. Knee. 2012 Oct;19(5):571-5.
11. Heyse TJ, Chong LR, Davis J, Boettner F, Haas SB, Potter HG. MRI analysis of the com-ponent–bone interface after TKA. Knee. 2011;19:290–4.
