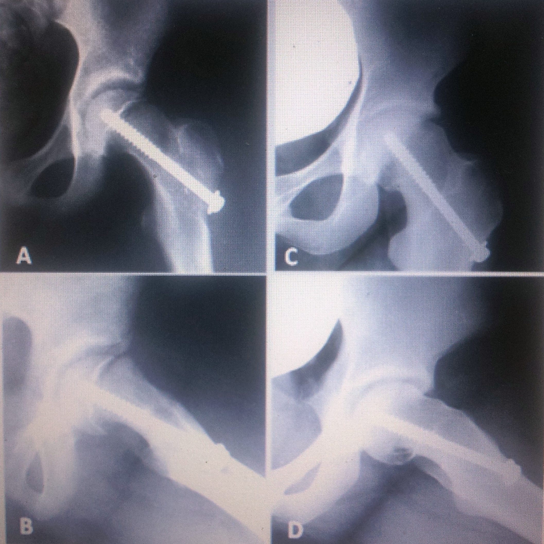
Remodelación y deterioro en epifisiólisis de cadera después de la fijación in situ. [Slipped capital femoral epiphysis remodeling and deterioration after in situ fixation]
Contenido principal del artículo
Resumen
Descargas
Métricas
Detalles del artículo

Esta obra está bajo licencia internacional Creative Commons Reconocimiento-NoComercial-CompartirIgual 4.0.
La aceptación del manuscrito por parte de la revista implica la no presentación simultánea a otras revistas u órganos editoriales. La RAAOT se encuentra bajo la licencia Creative Commons 4.0. Atribución-NoComercial-CompartirIgual (http://creativecommons.org/licenses/by-nc-sa/4.0/deed.es). Se puede compartir, copiar, distribuir, alterar, transformar, generar una obra derivada, ejecutar y comunicar públicamente la obra, siempre que: a) se cite la autoría y la fuente original de su publicación (revista, editorial y URL de la obra); b) no se usen para fines comerciales; c) se mantengan los mismos términos de la licencia.
En caso de que el manuscrito sea aprobado para su próxima publicación, los autores conservan los derechos de autor y cederán a la revista los derechos de la publicación, edición, reproducción, distribución, exhibición y comunicación a nivel nacional e internacional en las diferentes bases de datos, repositorios y portales.
Se deja constancia que el referido artículo es inédito y que no está en espera de impresión en alguna otra publicación nacional o extranjera.
Por la presente, acepta/n las modificaciones que sean necesarias, sugeridas en la revisión por los pares (referato), para adaptar el trabajo al estilo y modalidad de publicación de la Revista.
Citas
1991;73:667-74.
2. Loder RT, O’Donnell PW, Didelot WP, Kayes KJ. Valgus slipped capital femoral epiphysis. J Pediatr Orthop 2006;26:594-600.
3. Muller W. Eieentstehung von coxa valga durch epiphy sen verschiebung. Beitr Z Klin Chi. 1926;137:148-64.
4. Hartjen CA, Koman LA. Treatment of slipped capital femoral epiphysis resulting from juvenile renal osteodysthrophy. J Pediatr
Orthop 1990;10:551-4.
5. Aronson DD, Carlson WE. Slipped capital femoral epiphysis. A prospective study of fixation with a single screw. J Bone Joint
Surg Am 1992;74:810-9.
6. Boyer DW, Mickelson MR, Ponseti IV. Slipped capital femoral epiphysis. Long-term follow-up of one hundred and twenty-one
patients. J Bone Joint Surg Am 1981;63:85-95.
7. Loder RT, Richards BS, Shapiro PS, Reznick LR, Aronson DD. Acute slipped capital femoral epiphysis. The importance of
physeal stability. J Bone Joint Surg Am 1993;75:1134-40.
8. O’Brien E, Fahey J. Remodeling of the femoral neck after in situ pinning for slipped capital femoral epiphysis. J Bone Joint
Surg Am 1977;59:62-8.
9. Larson AN, Sierra RJ, Yu EM, Trousdale RT, Stans AA. Outcomes of slipped capital femoral epiphysis treated with in situ
pinning. J Pediatr Orthop 2012;32:125-30.
10. Karol LA, Doane RM, Cornicelli SF, Zak PA, Haut RC, Manoli A 2nd. Single versus double screw fixation for treatment of
slipped capital femoral epiphysis: a biomechanical analysis. J Pediatr Orthop 1992;12:741-5.
11. Waldenström H. Slipping of the upper femoral epiphysis. Surg Gynecol Obstet 1940;71:198.
12. Fahey J, O’Brien E. Acute slipped capital femoral epiphysis. J Bone Joint Surg Am 1965;47:1105-27.
13. Hall JE. The results of treatment of slipped femoral epiphysis. J Bone Joint Surg Br 1957;39:659-73.
14. Harris WH. Traumatic arthritis of the hip after dislocation in acetabular fractures. Treatment by mould arthroplasty. J Bone Joint
Surg Am 1969;51:737-55.
15. Clohisy JC, Carlisle JC, Beaulé PE, Kim YJ, Trousdale RT, Sierra RJ, et al. A Systematic approach to the plain radiographic
evaluation of the young adult hip. J Bone Joint Surg Am 2008;90(Suppl 4):47-66. doi:10.2106/JBJS.H.00756.
16. Leunig M, Casillas MM, Hamlet M, Hersche O, Notzli H, Slongo T, Ganz R. Slipped capital femoral epiphysis: early
mechanical damage to the acetabular cartilage by a prominent femoral metaphysis. Acta Orthop Scand 2000;71:370-5.
17. Ganz R, Gill TJ, Gautier E, Ganz K, Krugel N, Berlemann U. Surgical dislocation of the adult hip a technique with full access
to the femoral head and acetabulum without the risk of avascular necrosis. J Bone Joint Surg Br 2001;83:1119-24.
18. Leunig M, Slongo T, Kleinschmidt M, Ganz R. Subcapital correction osteotomy in slipped capital femoral epiphysis by means
of surgical hip dislocation. Oper Orthop Traumatol 2007;19:389-410.
19. Leunig M, Slongo T, Ganz R. Subcapital realignment in slipped capital femoral epiphysis: surgical hip dislocation and trimming
of the stable trochanter to protect the perfusion of the epiphysis. Instr Course Lect 2008;57:499-507.
20. Ganz R, Huff T, Leunig M. Extended retinacular soft tissue flap for intraarticular surgery of the hip. Operative technique,
indications and results of its application. Clin Orthop Relat Res 2009;467(3):704-716.
21. Spencer S, Millis MB, Kim YJ. Early results of treatment of hip impingement syndrome in slipped capital femoral epiphysis and
pistol grip deformity of the femoral head-neck junction using the surgical dislocation technique. J Pediatr Orthop 2006;26:281-5.
22. Praglia F, Sueiro J, Visona Dalla Pozza D, Stefano E. Deslizamientos epifisarios femorales proximales >30°. Procedimiento
de Dunn modificado. Evaluación anatomía y funcional en una cohorte retrospectiva. Rev Asoc Argent Ortop Traumatol 2013;
78(4):199-209.
23. Clarke NMP, Harrison MHM. Slipped upper femoral epiphysis. A potential for spontaneous recovery. J Bone Joint Surg Br
1986;68(4):541-4.
24. Siegel DB, Kasser JR, Sponseller P, Gelberman RH. Slipped capital femoral epiphysis a quantitative analysis of motion, gait,
and femoral remodeling after in situ fixation. J Bone Joint Surg Am 1991;73:659-66.
25. Wong-Chung J, Strong ML. Physeal remodeling after internal fixation of slipped capital femoral epiphysis. J Pediatr Orthop
1991;11:2-5.
26. Bellemans J, Fabry G, Molenaers G, Lammens J, Moens P. Slipped capital femoral epiphysis: a long-term follow-up, with
special emphasis on the capacities for remodeling. J Pediatr Orthop B 1996;5:151-7.
27. Slongo T, Kakaty D, Krause F, Ziebarth K. Treatment of slipped capital femoral epiphysis with a modified Dunn procedure.
J Bone Joint Surg Am 2010;92:2898-908. doi:10.2106.
28. Sink EL, Zaltz I, Heare T, Dayton M. Acetabular cartilage and labral damage observed during surgical hip dislocation for stable
slipped capital femoral epiphysis. J Pediatr Orthop 2010;30:26-30.
29. Larson AN, Sierra RJ, Yu EM, Trousdale RT, Stans AA. Outcomes of slipped capital femoral epiphysis treated with in situ
pinning. J Pediatr Orthop 2012;32:125-30.
