Síndrome SAPHO. Presentación de un caso clínico. [SAPHO syndrome. A case report.]
Resumen
El síndrome SAPHO incluye cinco entidades: Sinovitis, Acné, Pustulosis, Hiperostosis y Osteítis. Su característica principal es la asociación de múltiples afecciones osteoarticulares inflamatorias con trastornos cutáneos específicos. A propósito del caso clínico de un adolescente de 15 años con síndrome SAPHO, nos propusimos poner en conocimiento de la comunidad científica la importancia del diagnóstico precoz y el tratamiento acertado de esta patología. Las enfermedades de baja prevalencia han originado problemas diagnósticos en la práctica clínica; en el caso del síndrome SAPHO, tiene una demora diagnóstica promedio de ocho meses. El diagnóstico es fundamentalmente clínico. Cabe destacar que es un síndrome generalmente benigno, autolimitado y crónico, con períodos de exacerbaciones y remisiones. La antibioticoterapia y los procedimientos invasivos no son de elección. Abstract SAPHO syndrome involves synovitis, acne, pustulosis, hyperostosis, and osteitis. Its most important characteristic is the association of osteoarticular inflammatory conditions with specific skin disorders. We present a 15-year-old boy with SAPHO syndrome. The purpose of this paper is to raise awareness within the medical community of the importance of an early diagnosis and correct treatment. Low prevalence diseases have generated diagnostic problems in clinical practice. Delay in diagnosis of SAPHO syndrome averages 8 months. Diagnosis is mainly clinical. This is a generally benign, selflimited and chronic syndrome, with exacerbations and remissions. Antibiotic therapy and invasive procedures are not a choice.Descargas
Citas
Chamot AM, Benhamou CL, Kahn MF, Beraneck L, Kaplan G, Prost A. Le syndrome acné pustulose hyperostose ostéite. Résul- tats d’une enquête nationale; 85 observations. [Acne-pustulosis- hyperostosis-osteitis syndrome. Results of a national survey. 85 cases.] Rev Rhum Mal Osteoartic 1987;54:187-96.
Benhamou CL, Chamot AM, Khan MF. Synovitis -acne- pustulosis hyperostosis-osteomyelitis syndrome (SAPHO). A new syndrome among the spondyloartropaties? Clin Exp Rheumatol 1988;6:109-11
- Epígrafe de figura 1
- Figura 1
- Radiografía de Clavícula de nuestro paciente
- Radiografía de clavícula de nuestro paciente
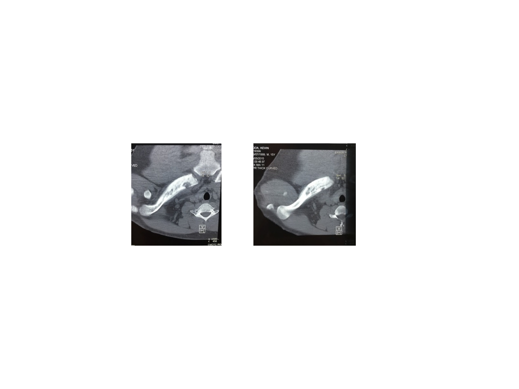
- Figura 3 tomografía
- Figura 3 tomografía computada
- Epígrafe de RMN
- RMN
- Epígrafe de figura 5
- Centellograma óseo
- Epígrafe de figura 6
- Pet TC Scan
- Epígrafe de figura 7
- Pet TC Scan
- Pet TC Scan
- Anatomía Patológica
- Epígrafe de figura 8
- Epígrafe de figura 9
- Paciente en la actualidad
Derechos de autor 2018 Revista de la Asociación Argentina de Ortopedia y Traumatología

Esta obra está bajo licencia internacional Creative Commons Reconocimiento-NoComercial-CompartirIgual 4.0.
La aceptación del manuscrito por parte de la revista implica la no presentación simultánea a otras revistas u órganos editoriales. La RAAOT se encuentra bajo la licencia Creative Commons 4.0. Atribución-NoComercial-CompartirIgual (http://creativecommons.org/licenses/by-nc-sa/4.0/deed.es). Se puede compartir, copiar, distribuir, alterar, transformar, generar una obra derivada, ejecutar y comunicar públicamente la obra, siempre que: a) se cite la autoría y la fuente original de su publicación (revista, editorial y URL de la obra); b) no se usen para fines comerciales; c) se mantengan los mismos términos de la licencia.
En caso de que el manuscrito sea aprobado para su próxima publicación, los autores conservan los derechos de autor y cederán a la revista los derechos de la publicación, edición, reproducción, distribución, exhibición y comunicación a nivel nacional e internacional en las diferentes bases de datos, repositorios y portales.
Se deja constancia que el referido artículo es inédito y que no está en espera de impresión en alguna otra publicación nacional o extranjera.
Por la presente, acepta/n las modificaciones que sean necesarias, sugeridas en la revisión por los pares (referato), para adaptar el trabajo al estilo y modalidad de publicación de la Revista.

