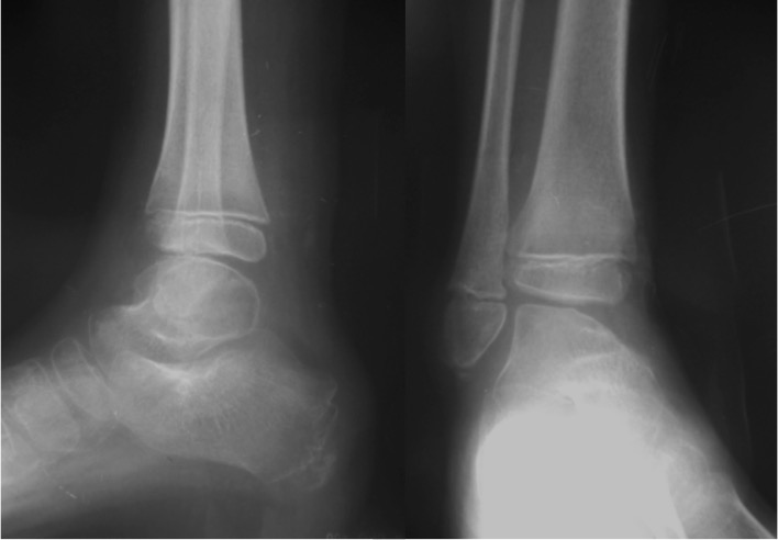
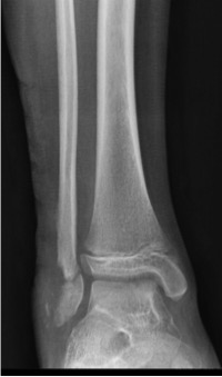
Fracturas fisarias Salter-Harris VI de tobillo y pie. [Salter-Harris VI fractures of the foot and ankle.]
Contenido principal del artículo
Resumen
Descargas
Métricas
Detalles del artículo

Esta obra está bajo licencia internacional Creative Commons Reconocimiento-NoComercial-CompartirIgual 4.0.
La aceptación del manuscrito por parte de la revista implica la no presentación simultánea a otras revistas u órganos editoriales. La RAAOT se encuentra bajo la licencia Creative Commons 4.0. Atribución-NoComercial-CompartirIgual (http://creativecommons.org/licenses/by-nc-sa/4.0/deed.es). Se puede compartir, copiar, distribuir, alterar, transformar, generar una obra derivada, ejecutar y comunicar públicamente la obra, siempre que: a) se cite la autoría y la fuente original de su publicación (revista, editorial y URL de la obra); b) no se usen para fines comerciales; c) se mantengan los mismos términos de la licencia.
En caso de que el manuscrito sea aprobado para su próxima publicación, los autores conservan los derechos de autor y cederán a la revista los derechos de la publicación, edición, reproducción, distribución, exhibición y comunicación a nivel nacional e internacional en las diferentes bases de datos, repositorios y portales.
Se deja constancia que el referido artículo es inédito y que no está en espera de impresión en alguna otra publicación nacional o extranjera.
Por la presente, acepta/n las modificaciones que sean necesarias, sugeridas en la revisión por los pares (referato), para adaptar el trabajo al estilo y modalidad de publicación de la Revista.
Citas
2. Peterson HA. Physeal fractures: part 2. Two previously unclassified types. J Pediatr Orthop 1994;14:431-8.
3. Rang M. The growth plate and its disorders. Edinburgh: Churchill Livingstone; 1969.
4. Ogden J. Skeletal growth mechanism injury patterns. J Pediatr Orthop 1982;2:371-7.
5. Salter RB, Harris WR. Injuries involving the epiphyseal plate. J Bone Joint Surg Am 1963;45(3):587-622.
6. Havranek P, Pesl T. Salter (Rang) type 6 physeal injury. Eur J Pediatr Surg 2010;20(3):174-7.
7. Mayr JM, Pierer GR, Linhart WE. Reconstruction of part of the distal tibial growth plate with an autologous graft from the
iliac crest. J Bone Joint Surg Br 2000;62:558-60.
8. Peterson HA, Jacobsen FS. Management of distal tibial medial malleolus type-6 physeal fractures. J Child Orthop 2008;2:151-
4.
9. Kitaoka HB, Alexander IJ, Adelaar RS, Nunley JA, Myerson MS, Sanders M. Clinical rating systems for the ankle-hindfoot,
midfoot, hallux, and lesser toes. Foot Ankle Int 1994;15:349-53.
10. Toupin JM, Lechevallier J. Post-traumatic epiphysiodesis of the distal end of the tibia in children. Rev Chir Orthop Reparatrice
Appar Mot 1997;83:112-22.
11. Ogden JA. Injury to the growth mechanisms. En: Ogden JA (ed.) Skeletal injury in the child, 2nd ed. Philadelphia: W. B.
Saunders; 1990:97-173.
12. Foster BK, John B, Hasler C. Free fat interpositional graft in acute physeal injuries: the anticipatory Langenskiold procedure.
J Pediatr Orthop 2000;20:282-5.
13. Yamauchi T, Yajima H, Tamai S, Kizaki K. Flap transfers for the treatment of perichondral ring injuries with soft tissue
defects. Microsurgery 2000;20:262-6.
14. Abbo O, Accadbled F, Laffosse JM, De Gauzy JS. Reconstruction and anticipatory Langenskiöld procedure in traumatic defect
of tibial medial malleolus with type 6 physeal fracture. J Pediatr Orthop Br 2012;21(5):434-8
