Osteotomía percutánea de Bosch ¿El paciente acepta la clavija? Análisis clínico – funcional y resultados a corto plazo. [Bosch percutaneous osteotomy. Does the patient accept the nail? Clinical and functional analysis and short-term result.]
Resumen
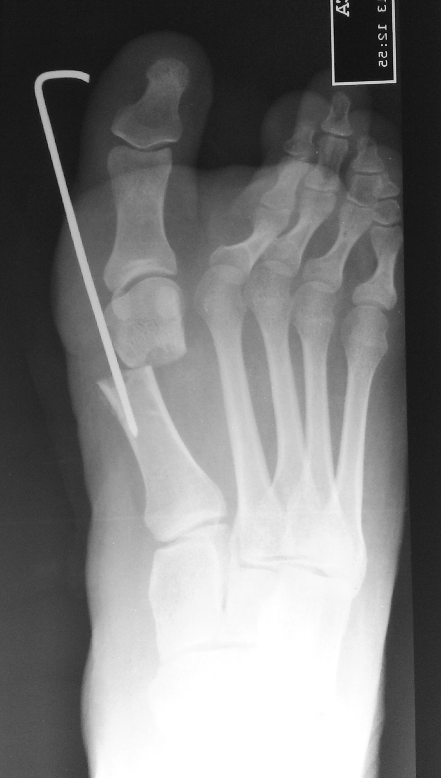
IntroducciónEl Hallux valgus es una deformidad frecuente de la articulación metatarso falángica del primer rayo que predomina en el sexo femenino. En la actualidad hay más de cien técnicas descriptas y popularizadas para el tratamiento de esta patología. El tratamiento quirúrgico del hallux valgus en forma percutánea es un procedimiento demandante que implica una curva de aprendizaje prolongada y que constituye un desafío para el cirujano especialista.Material y MétodosEstudio de cohorte retrospectivo. 70 pacientes operadas de hallux valgus con tecnica percutanea de Bosch. Se evaluaron características del intraoperatorio y hospitalización, resultados funcionales de acuerdo a score AOFAS y molestias con la utilizacion de clavija para fijacion de osteotomia; y resultados radiológicos El seguimiento promedio fue de 12,8.ResultadosEl tiempo promedio de utilización de clavija fue de 31,44 días, rango entre 7 y 45 días. 18 pacientes presentaron insatisfacción o incomodidad con la utilización de la clavija en el PO pero manifestaron que se volverían a operar con una técnica quirúrgica similar. Sin embargo, 3 pacientes que presentaron conformidad con la utilización de la clavija en el PO, manifestaron que no volverían a operarse con esta técnica. Todos los pacientes presentaron remisión completa del dolor con un resultado AOFAS final de 96,21 puntos.DiscusiónLa osteotomía metatarsiana percutánea ha superado los objetivos en el tratamiento de la cirugía de hallux valgus, obteniendo similares resultados clínico - radiográficos que las técnicas abiertas convencionales, pero disminuyendo los daños sobre las partes blandas. La crítica hacia la cirugía de Bosch es el riesgo de rigidez post operatoria pero, ya que se trata de una osteotomía extra articular, este riesgo queda minimizadoConclusiónLos resultados de este estudio demuestran que la cirugía de Bosch y la estabilización de la osteotomía con una clavija de Kirschner, es una solución eficaz para el tratamiento del hallux valgus.Descargas
Citas
Portaluri M. Hallux valgus correction by the method of Bosch. Foot Ankle Clin 2000;5:499-511.
Perera A, Stephens M. The pathogenesis of hallux valgus. Current concepts review. J Bone Joint Surg Am 2011;93:1650-61.
Deenik A, Pilot P, Brandt S. Scarf versus chevron osteotomy in hallux valgus: A randomized controlled trial in 96 patients. Foot Ankle Int 2007;28:537-41.
Magnan B, Pezzé L, Rossi N, Bartolozzi P. Percutaneous distal metatarsal osteotomy for correction of hallux valgus. J Bone Joint Surg Am 2005;87:1191-9.
Austin DW, Leventen EO. A new osteotomy for hallux valgus: a horizontally directed “V” displacement osteotomy of the metatarsal head for hallux valgus and primus varus. Clin Orthop Relat Res 1981;157:25-30.
Kramer J. Die Kramer-Osteotomie zur behandlung des hallux valgus und des digitus quintus varus. Operat Orthop Traumat 1990;2:29-38.
Homann G. Symptomatische oder physiologische behandlung des hallux valgus. Munch Med Wschr 1921;68:1042-5.
Bösch P, Markowski H, Rannicher V. Technik und erste ergebnisse der subkutanen distalen metatarsale-I-osteotomie. Orthopädische Praxis 1990;26:51-6.
Magnan B, Bortolazzi R, Samaila E, Pezzé L, Rossi N, Bartolozzi P. Percutaneous distal metatarsal osteotomy for correction of hallux valgus. Surgical technique. J Bone Joint Surg Am 2006;88:135-48.
Johnson KA, Cofield RH, Morrey BF. Chevron osteotomy for hallux valgus. Clin Orthop Relat Res 1979;142:44-7.
Mann RA, Coughlin MJ. Hallux valgus—etiology, anatomy, treatment and surgical considerations. Clin Orthop Relat Res 1981;157:31-41.
Trnka HJ, Zembsch A, Easley ME, Salzer M, Ritschl P, Myerson MS. The chevron osteotomy for correction of hallux valgus. Comparison of findings after two and five years of follow-up. J Bone Joint Surg Am 2000;82:1373-8.
Maffulli N, Longo U, Denaro V, Coppola C. Bosch osteotomy and scarf osteotomy for hallux valgus correction. Orthop Clin North Am 2009;40:515-24.
Maffulli N, Longo U, Marinozzi A, Denaro V. Hallux valgus: effectiveness and safety of minimally invasive surgery. A systematic review. Br Med Bull 2011;97:149-67.
Lui TH. First metatarsophalangeal joint arthroscopy in patients with hallux valgus. Arthroscopy 2008;24:1122-9.
Lui TH, Ng S, Chan KB. Endoscopic distal soft tissue procedure in hallux valgus surgery. Arthroscopy 2005;21:1403.
Sotelano P, Migues A. Tratamiento percutáneo del hallux valgus. Técnica de Bosch. Rev Asoc Argent Ortop Traumatol 2007;72:233-41.
Bartolozzi P, Magnan B. L’osteotomia distale percutánea nella chirurgia dell’alluce valgo. Bologna: Timeo; 2000:7-24.
Bösch P, Wanke S, Legenstein R. Hallux valgus correction by the method of Bösch: a new technique with a seven-to-ten-year follow-up. Foot Ankle Clin 2000;5:485-98.
Bösch P, Markowski H, Rannicher V. Technik und erste ergebnisse der subkutanen distalen metatarsale-I-osteotomie. Orthopädische Praxis 1990;26:51-6.
Magnan B, Montanari M, Bragantini A, Fieschi S, Bartolozzi P. Trattamento chirurgico dell’alluce valgo con tecnica “mini-invasiva” percutánea (P.D.O.: percutaneous distal osteotomy). En: Malerba F, Dragonetti L, Giannini S (eds.) Progressi in medicina e chirurgia del piede. Bologna: Aulo Gaggi; 1997, vol. 6, p. 91-104.
Kramer J. Die Kramer-Osteotomic zur Behandlung des Hallux Valgus und des digitus quintus varus. Operat Orthop Trauma 1990;2:29-38.
Coughlin M, Smith B. Hallux valgus and first ray mobility. Surgical technique. J Bone Joint Surg Am 2008;90:153-70.
Roukis TS. Central metatarsal head-neck osteotomies: indications and operative techniques. Clin Podiatr Med Surg 2005;22(2):197-222.
Lamprecht E, Kramer J. Die retrokapitale osteotomie nach Kramer und ihre stabitisierung ohne schraube, platte oder gips. Z Orthop Ihre Grenzgeb 1984;122:607.
Mann RA, Coughlin MJ. Hallux valgus in adults. En: Coughlin MJ, Mann RA (eds.) Surgery of the foot and ankle, 7th ed. St Louis: Mosby; 1999:147-264.
Kadakia A, Smerek J. Myerson M. Radiographic results after percutaneous distal metatarsal osteotomy for correction of hallux valgus deformity. Foot Ankle Int 2007;28: 355.
Iannò B, Familiari F, De Gori M, Gelasso O, Ranuccio F, Gasparini G. Midterm results and complications after minimally invasive distal metatarsal osteotomy for treatment of hallux valgus. Foot Ankle Int 2013;34:969.
Derechos de autor 2016 Revista de la Asociación Argentina de Ortopedia y Traumatología

Esta obra está bajo licencia internacional Creative Commons Reconocimiento-NoComercial-CompartirIgual 4.0.
La aceptación del manuscrito por parte de la revista implica la no presentación simultánea a otras revistas u órganos editoriales. La RAAOT se encuentra bajo la licencia Creative Commons 4.0. Atribución-NoComercial-CompartirIgual (http://creativecommons.org/licenses/by-nc-sa/4.0/deed.es). Se puede compartir, copiar, distribuir, alterar, transformar, generar una obra derivada, ejecutar y comunicar públicamente la obra, siempre que: a) se cite la autoría y la fuente original de su publicación (revista, editorial y URL de la obra); b) no se usen para fines comerciales; c) se mantengan los mismos términos de la licencia.
En caso de que el manuscrito sea aprobado para su próxima publicación, los autores conservan los derechos de autor y cederán a la revista los derechos de la publicación, edición, reproducción, distribución, exhibición y comunicación a nivel nacional e internacional en las diferentes bases de datos, repositorios y portales.
Se deja constancia que el referido artículo es inédito y que no está en espera de impresión en alguna otra publicación nacional o extranjera.
Por la presente, acepta/n las modificaciones que sean necesarias, sugeridas en la revisión por los pares (referato), para adaptar el trabajo al estilo y modalidad de publicación de la Revista.

