Explorar 42 títulos
Todos los artículos
-
Osteomielitis de tibia secundaria a la vacuna BCG en un paciente pediátrico inmunocompetente. Reporte de un caso
157-166
Acceso mediante suscripción PDF Acceso mediante suscripción PDF_EN (English) Acceso mediante suscripción HTML Acceso mediante suscripción Figura 1 Acceso mediante suscripción Figura 2 Acceso mediante suscripción Figura 3 Acceso mediante suscripción Figura 4 Acceso mediante suscripción Figura 5 Acceso mediante suscripción Tabla -
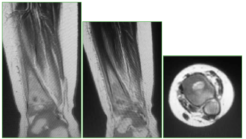
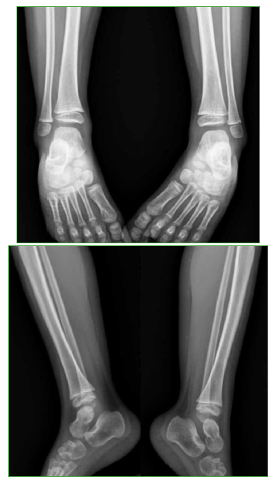
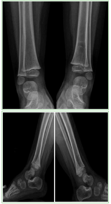
Lipoblastoma: una causa inusual de tumoración del pie en niños
65-73
Acceso mediante suscripción PDF Acceso mediante suscripción PDF_EN (English) Acceso mediante suscripción Figura 1 Acceso mediante suscripción Figura 2 Acceso mediante suscripción Figura 3 Acceso mediante suscripción Figura 4 Acceso mediante suscripción Figura 5 Acceso mediante suscripción Tabla 1 Acceso mediante suscripción HTML
